Komplikationen im natürlichen Verlauf — Venöse Malformation

Venöse Fehlbildungen haben sehr selten lebensbedrohliche Folgen. Hier sind Thrombembolien mit konsekutiver Lungenembolie und lebensbedrohliche Gerinnungsstörungen durch eine Verbrauchskoagulopathie zu nennen. Der natürliche Verlauf ist dagegen häufig durch das Auftreten von Spätkomplikationen gekennzeichnet. Die progrediente Kongestion führt zu lokalen, regionalen und systemischen Beschwerden, die die Lebensqualität der Betroffenen bis hin zur schweren Behinderung beeinträchtigen können.

Schwellung

Die Volumenzunahme führt zur einer progredienten schmerzhaften Spannung im betroffenen Körperabschnitt, sodass die Kompressions- und Schmerztherapie angepasst werden müssen. Invasive Therapieverfahren sind dann notwendig, um einen beschwerdearmen Alltag zu ermöglichen.

Hautveränderungen

Der langjährige Blutstau an Haut und Subkutis führt zu trophischen Veränderungen mit herabgesetzter Infektabwehr. Therapierefraktäre, schmerzhafte Wunden können entstehen und verursachen besonders im Gesichts- und Fußbereich eine relevante Morbidität. Ausgedehnte Wunden können bei gleichzeitigem nicht behebbarem Funktionsverlust der unteren Extremitäten sogar eine Amputation notwendig machen, die nach angemessener Prothesenversorgung wieder eine weitgehende Mobilität ermöglicht.

Störungen des Bewegungsapparates

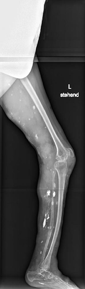
Ausgedehnte intramuskuläre VM an den unteren Extremitäten und am Stamm können über eine asymmetrische Körperhaltung zu Fehlstellungen und Muskelschwäche mit erheblicher Einschränkung der Gehfähigkeit führen. Durch unsachgemäße oder zu radikale Therapiemaßnahmen kann es ebenfalls zu Langzeitstörungen der Mobilität kommen.

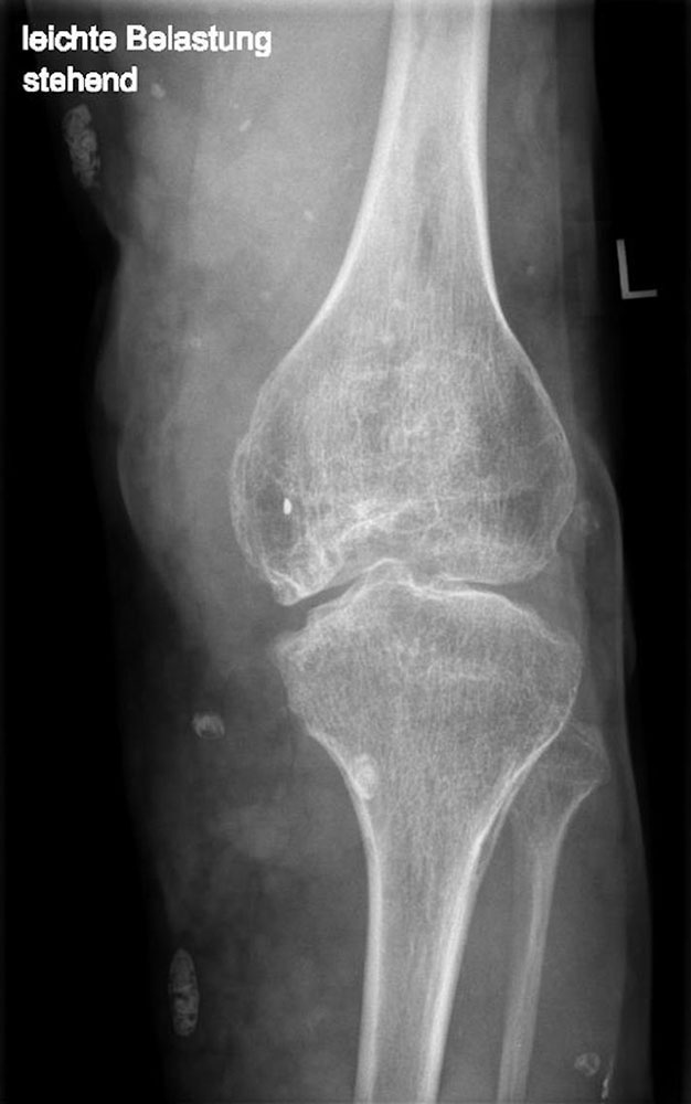
Bei Gelenk- und Knochenbeteiligung resultiert zudem eine erhöhte Frakturgefahr der oft begleitend dysplastischen Knochen, wobei dann die Bruchheilung erheblich verzögert erfolgt und es sogar zur Defektheilung kommen kann.

Die genannten Schäden am Bewegungsapparat sind dann ausgeprägter, wenn zusätzlich ein segmentaler Über- oder Unterwuchs vorliegt. Frühzeitig sollte dann ein Orthopäde, der über eine entsprechende Expertise verfügt, in die Betreuung eingebunden werden.

Koagulopathie

In größeren VM kommt es zu einer ständig ablaufenden lokalisierten Blutgerinnung und Wiederauflösung der Gerinnsel. Dies führt zu einem Verbrauch von Gerinnungsfaktoren mit niedrigem Fibinogen und hohen D-Dimer-Werten im Labor. Es entsteht eine LIC (lokalisierte intravasale Coagulation), die zu lebensbedrohlichen Blutungen insbesondere nach Operationen und Traumen führen kann. Vor einer Operation muss man an diese Möglichkeit denken, die Gerinnungswerte überprüfen und je nach Befund mit Antikoagulantien behandeln.

Chronisches Schmerzsyndrom

Da ausgedehnte venöse Malformationen meist lebenslang bestehen, ist eine frühzeitige und ganzheitliche Schmerzbehandlung notwendig, um das Risiko für das Auftreten eines chronischen Schmerzsyndroms zu verringern. Aufgrund der Variabilität der Befunde gibt es kein allgemeingültiges therapeutisches Vorgehen. Vielmehr soll der Betroffene anhand mehrerer, sich ergänzender konservativer und invasiver Maßnahmen in die Lage versetzt werden, ein möglichst beschwerdefreies und aktives Leben zu führen. Die Behandlungsstrategie berücksichtigt dabei sowohl die jeweilige Persönlichkeitsstruktur als auch die Eigendynamik der Malformation.