Kapitel: Kardiale Komplikationen
Artikel: 2 von 9
Update: 2020/02/19
Autor/en: Sadick, Maliha | Wohlgemuth, Walter A.
Ausgedehnte venöse Malformationen (VM) oder venöse Malformationen assoziiert mit anderen Anomalien können im Rahmen von massiven Lungenembolien eine erhebliche Druckbelastung des rechten Ventrikels mit konsekutiver akuter Rechtsherzinsuffizienz hervorrufen. Die Auswurfleistung des rechten Herzens sinkt, dadurch sinkt der Blutrückstrom zum linken Herzen und es kommt zu einer Abnahme des Herzminutenvolumens. Daher sind bei großen venösen Malformationen, beim Klippel-Trénaunay-Syndrom und beim CLOVES-Syndrom großlumige Verbindungen zum abführenden Leitvenensystem, die mit venösen Malformationsanteilen kommunizieren, sehr frühzeitig zu diagnostizieren und zu verschließen. Dies gilt insbesondere für die Marginalvenen, die beim CLOVES-Syndrom auch im Bereich der Rumpfwand auftreten. Ein Verschluss derselben ist notwendig, da in dieser Konstellation eine Verkürzung der Lebenserwartung aufgrund rezidivierender schwerer Lungenembolien oder aufgrund einer chronisch-thrombembolischen pulmonalarteriellen Hypertonie beschrieben wurde.
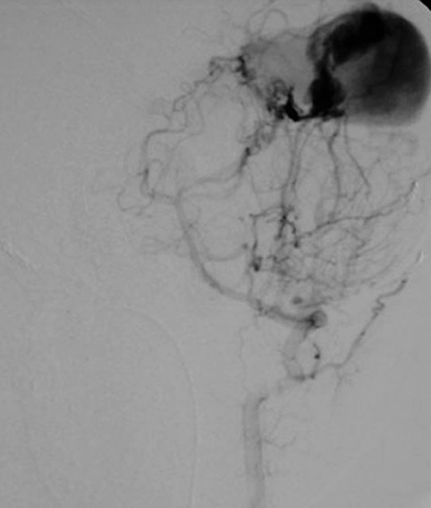
Fetale Fast-flow-arteriovenöse Malformationen (AVM), wie die Vena Galeni Malformation, führen durch erhebliche zerebrale Shuntverbindungen zwischen der Vena magna cerebri und den Arterien aus dem Karotisstromgebiet und dem vertebrobasilären Kreislauf zu einer aneurysmatischen Dilatation der Vena Galeni. Neben zerebralen Komplikationen wie intrakranieller Blutung und Hydrozephalus können betroffene Patienten, abhängig von Ausmaß der Shunts und Alter bei Diagnosestellung, eine Herzinsuffizienz bis zum High-output cardiac failure, pulmonale Hypertonie und Multiorganversagen entwickeln.
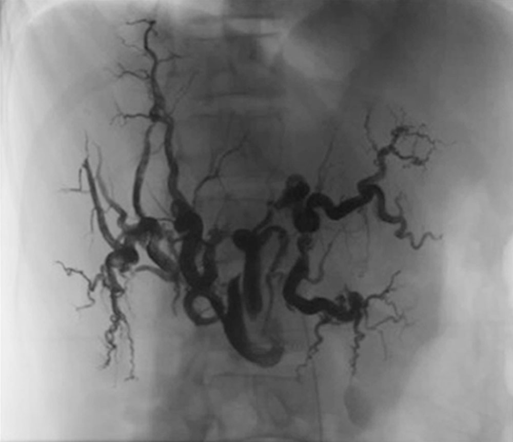
Die Volumenbelastung des Herzens, wie sie durch riesige pelvine oder an den Extremitäten befindliche arteriovenöse Malformationen verursacht werden kann, mündet unbehandelt in eine chronische Rechtsherzinsuffizienz. Rechtsventrikuläre Volumenbelastung durch AV-Shunts und kontinuierliche Reduktion des systemischen Gefäßwiderstandes mit peripherer Vasodilatation führen zu einem Abfall des arteriellen Blutdrucks. Als Kompensationsmechanismus kommt es zur Aktivierung des sympathischen neurohumoralen Systems um die Förderleistung des rechten Ventrikels aufrecht zu erhalten. Neben Knöchelödemen entwickeln Patienten persistierende Tachykardie bis hin zur Stauungsproteinurie. Laborchemisch ist dies an einem erhöhten NT-proBNP ablesbar.
Durch das ständig massive erhöhte Herzminutenvolumen kann es auch zu tachykarden Rhythmusstörungen kommen.
Versagt das ventrikuläre Remodelling im Rahmen der Anpassung auf die Volumenbelastung, kommt es zum Herzversagen. Aufgrund der sich stetig weiter entwickelnden Diagnose- und Therapiemöglichkeiten von Patienten mit Fast-flow-Gefäßanomalien, kann eine rechtzeitige minimalinvasive Behandlung der zugrunde liegenden Malformation die kardiale Komplikationsrate deutlich senken.
Die sehr seltenen sporadischen und traumatischen arteriovenösen Fisteln mit sehr hohem Shuntvolumen können eine Dekompensation der linksventrikulären Funktion mit Ventrikeldilatation, Zunahme von endsystolischem und endddiastolischen Volumen und Abnahme der Auswurffraktion verursachen. Die Folge ist ein arterieller Blutdruckabfall.
Weitaus häufiger sind kongenitale arteriovenöse Fisteln mit der hereditären hämorrhagischen Teleangiektasie vergesellschaftet, auch als Morbus Osler bekannt. Je nach zugrundeliegender Störung können bei bis zu 75 % der Betroffenen Fast-flow-Shunts zwischen Pulmonalarterie und Pulmonalvene diagnostiziert werden. Daraus können sich ein intrapulmonaler Rechts-Links-Shunt mit zerebralen paradoxen Embolien, Dyspnoe, Zyanose und Trommelschlegelfinger bis hin zur chronischen kardiopulmonalen Insuffizienz entwickeln.
Die prognostisch ungünstigsten Gefäßanomalien bei Patienten mit Morbus Osler entwicklen sich jedoch im Laufe des Lebens aus zunehmenden arteriovenösen Malformationen der Leber, die massive Ausmaße annehmen können und ebenfalls zu einer Rechtsherzbelastung bis zum Versagen führen können. Die früher dann häufiger versuchte Lebertransplantation wird heute meistens durch eine etappenweise durchgeführte selektive, segmentweise Embolisation der Leber-AVM vermieden.