Klinisches Erscheinungsbild — Lymphatische Malformation

  • Kapitel: Lymphatische Malformationen

    Artikel: 4 von 14

    Update: 2021/03/15

  • Autor/en: Meyer, Lutz

Die Mehrzahl der zystischen lymphatischen Malformationen (im Folgenden „LM“) ist bei Geburt als Schwellung bzw. umschriebene Raumforderung z. B. des Gesichts, einer Extremität oder einer Gesäßhälfte sichtbar. Große LM werden immer häufiger bereits durch die pränatale sonographische Diagnostik entdeckt oder vermutet. Dies führt immer mehr zur bereits pränatalen Beratung der Schwangeren in spezialisierten Zentren bis hin zu heute noch experimentellen prä- oder perinatalen Therapieversuchen (Punktionen, Sklerosierungen und systemischen medikamentösen Behandlungen z. B. mit Sirolimus pränatal, der Exit-Strategie perinatal).

Ein Teil der LM ist bei Geburt nicht erkennbar. Sehr häufig im Rahmen allgemeiner Virusinfekte, meist der oberen Luftwege, füllen sich die embryonal angelegten Zysten der LM und werden dadurch durch Schwellungen z. B. am Hals bemerkbar. In vereinzelten Fällen passiert dies erst im Jugend- oder Erwachsenenalter.

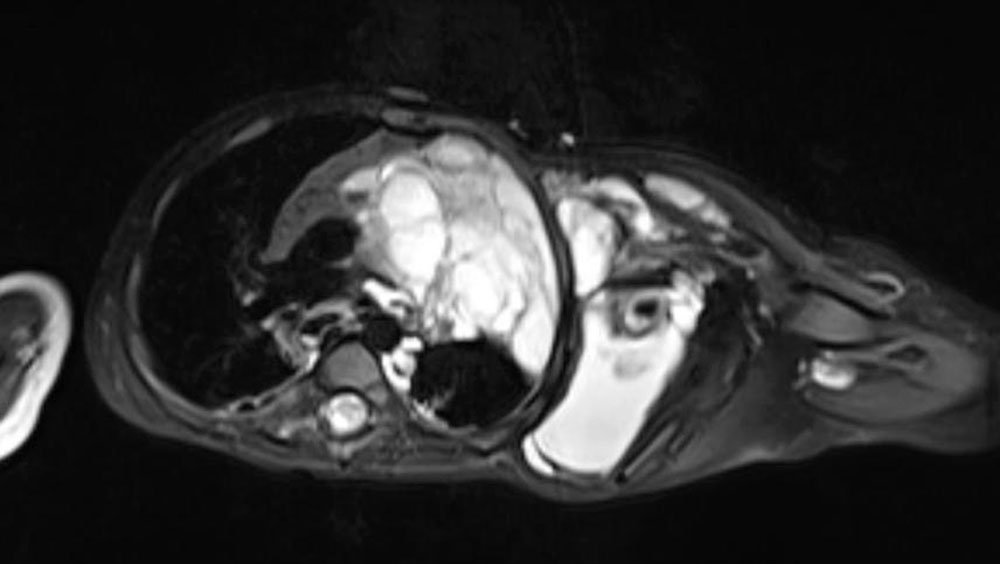
Retroperitoneale LM können jahrelang unbemerkt bleiben. Oft, wieder im Rahmen eines Virusinfektes, schwellen kleinere zu größeren Zysten an und verursachen Symptome (Schwellung des Abdomens, intraabdominelle Schmerzen). Es sind schon derartige LM bei Operationen unter dem Verdacht einer Appendicitis oder Hydrocele entdeckt worden. Intraabdominelle LM befallen meist das Mesenterium des Darms und verursachen tastbare Resistenzen im Bauchraum oder Darmpassagestörungen.

Intrathorakale LM werden meist bei der bildgebenden Abklärung weiterer äußerlich sichtbarer Anteile einer LM mit aufgedeckt. Meist ist das obere Mediastinum betroffen, wobei unterschiedlich große Zysten die intrathorakale Trachea und die großen Gefäße umgeben. Weniger häufig ist das mittlere Mediastinum bis zum Zwerchfell oder noch weiter reichend das Retroperitoneum betroffen. Bei Befall des mittleren Mediastinums kommt es selten zu Symptomen. Füllt die retropleurale LM mehr als 50 % einer Thoraxhälfte mit nachfolgender Hypoplasie der verdrängten Lungenhälfte, so können Symptome einer restriktiven Lungenkapazität auftreten.

Intraorbitale LM verursachen häufig einen Exophthalmus sowie aufgrund des Drucks auf die knöcherne Augenhöhle ein vermehrtes Größenwachstum der Orbita, wodurch zusätzlich eine Verschiebung der Augenachse meist nach kaudal resultiert.

Oft treten Bläschen auf der Conjunctiva sowie eine Infiltration der Augenlider und des Augeninnenwinkels auf.

Kutane LM werden oft erst nach einigen Jahren postnatal sichtbar. Beetartige multiple stecknadelkopfgroße Bläschen auf einem Areal der Haut oder auf der Mukosa des Mundraums und der Zunge führen zur Diagnose. Zum Teil können sie auch exophytisch aus der Haut hervorwachsen.