Autor/en: Wohlgemuth, Walter A.
Autor/en: Wohlgemuth, Walter A.
Zu diesem Zeitpunkt 15-jähriges Mädchen mit rezidivierender Schwellung und Schmerzen ventral in der rechten Leiste und am proximalen Oberschenkel. Auf diesem schmerzhaften Areal entstehen immer wieder krusten- oder beetartige, dunkellila-farbene Bläschen an der Haut. Aus diesen tritt blutig tingierte Lymphflüssigkeit aus (Lymphorrhoe), an manchen Tagen bis zu 500 ml pro Tag. Klinisch handelt es sich um ein klassisches Bild einer lymphatischen Malformation mit Lymphangioma circumscriptum durch mikrozystische Anteile der LM, die bis in die Haut reichen.
In der koronaren T2-gewichteten, fettunterdrückten MRT auf Höhe des proximalen Oberschenkels ist die lymphatische Malformation aufgrund der enthaltenen interstitiellen Flüssigkeit (Lymphe) stark hyperintens und netzartig verteilt.
Gleiche MRT-Schicht in der nativen T1-Wichtung zeigt die LM hypointens im hyperintensen subkutanen Fettgewebe, entsprechend der enthaltenen Lymphflüssigkeit.
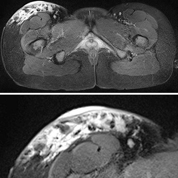
In der transversalen T2-Wichtung, fettunterdrückt, ist die rein epifasziale Ausdehnung der LM im subkutanen Fettgewebe klar zu erkennen. Die darunter liegende Muskulatur ist nicht betroffen.
Beachte in der Ausschnittsvergrößerung (unteres Bild) die exophytische Ausdehnung der mikrozystischen Anteile (stark hyperintens) der LM bis über das Niveau der Haut.
In der gleichen Schichtführung der MRT (oben Übersicht, unten Ausschnittsvergrößerung) in T2-Wichtung ohne Fettunterdrückung sind die gleichzeitig vorhandenen bindegewebigen Anteile der hart tastbaren LM als hypointense netzartige Zeichnung besser zu sehen. Beachte wieder den erhabenen exophytischen Anteil oberhalb des Hautniveaus.
In der axialen fettunterdrückten T1-Wichtung nach KM-Gabe (oben Übersicht, unten Ausschnitt) findet sich die stärkste Anreicherung in den kutan gelegenen, expophytischen, mikrozystischen Anteilen in der Haut. Die darunter liegende LM im subkutanen Fettgewebe reichert dagegen kaum an.
In der entsprechenden Computertomographie ist die LM mit ihrer Flüssigkeitseinlagerung und bindegewebigen Komponente etwas hyperdenser als das umgebende subkutane Fettgewebe dargestellt, der Weichteilkontrast ist schlechter als in der MRT. Es findet sich in der CT auch keine KM-Anreicherung. Beachte in der Ausschnittsvergrößerung (unteres Bild) die Verdickung der Haut durch die kutanen mikrozystischen Anteile der LM.
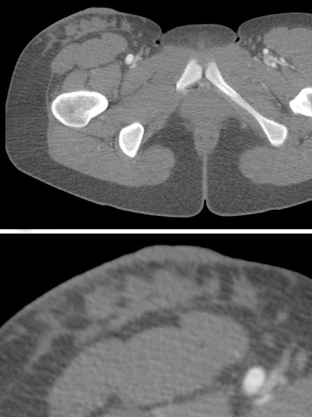
In der 3D-Darstellung der computertomographischen Angiographie findet sich ein normaler Befund der rechtsseitigen Arterien und Venen der Leiste und des Oberschenkels. Diese sind nicht an der Malformation beteiligt. Auch die darunter liegenden knöchernen Strukturen sind unauffällig.
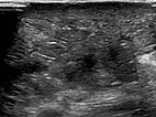
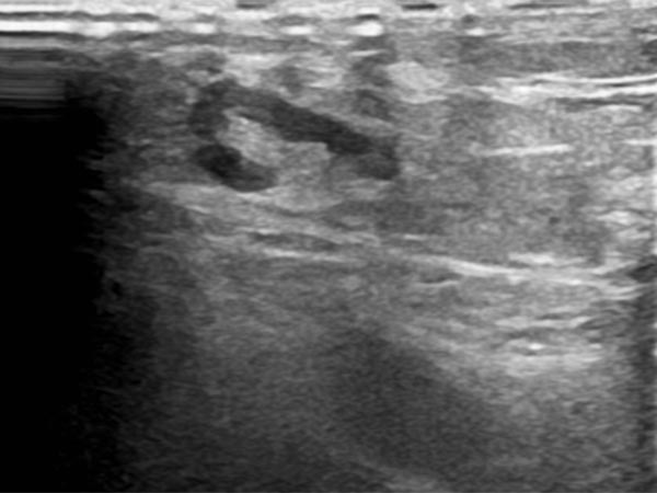
In der B-Bild-Sonographie des subkutanen Anteils der LM zeigt sich ein dysplastisch erweiterter Lymphkanal als echofreie tubuläre Struktur. Das umgebende subkutane Fettgewebe ist deutlich echoreicher als normal durch die eingelagerte Flüssigkeit.
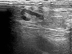
In der B-Bild-Sonographie (Querschnitt proximaler ventraler Oberschenkel) zeigt sich ebenfalls das deutlich echoreiche Gewebe, von einzelnen sehr feinen, dilatierten flüssigkeitsgefüllten Lymphleitern durchsetzt.
Durch die permanente Lymphorrhoe fehlt die natürliche Barrierefunktion der Haut für Bakterien. Es kommt immer wieder zu Streptokokkeninfekten in Form eines Erysipels. Dieses ist hier sichtbar als zunehmende lokale Schwellung und vor allem Rötung der Haut. Die Rötung ist auch sehr schmerzhaft, die Patientin hat aktuell Fieber.
Die Episoden der blutig tingierten Lymphorrhoe (Austritt einer Mischung von Blut und Lymphflüssigkeit) häufen sich ebenfalls weiterhin. Der dann erstellte Therapieplan soll zunächst in Stufen eskaliert werden. Zunächst soll versucht werden, durch eine Sklerosierungstherapie mittels Picibanil (OK-432) in Direktpunktionstechnik die Haut abzudichten, damit die Lymphorrhoe reduziert wird und die Erysipele seltener werden.
Direkte Lymphographie mit wasserlöslichem Kontrastmittel in Direktpunktionstechnik unter sonographischer Steuerung.
Es gelingt hier mehrfach die dysplastischen, erweiterten Lymphkanäle der LM im Subkutangewebe zu punktieren.
In diese wird dann das Picibanil (OK-432) als Sklerosierungsmittel injiziert um über die Entzündung die kutanen dysplastischen Lymphkanäle abzudichten.
Lymphographie in Direktpunktionstechnik unter sonographischer Steuerung.
Das subkutane Lymphgefäßsystem ist stark dysplastisch, zum Teil dilatiert und bizarr fuchsbauartig erweitert. Normale Lymphgefäße sind deutlich kleiner.
Auch hier wird Picibanil (OK-432) injiziert zur entzündungsinduzierten Lymphgefäßsklerosierung und Abdichtung der Haut.
In einem weiteren Schritt werden die verbliebenen Anteile des Lymphangioma circumscriptum an der Haut mittels CO2-Laser abgetragen. Die Abdichtung der Haut gelingt durch die Kombination aus Sklerosierung und Laserung zunächst sehr gut.
Das funktionelle Zwischenergebnis nach dieser Kombinationstherapie ist zunächst sehr befriedigend. Die darunterliegenden Anteile der LM führen jedoch auf Dauer zur Gefahr eines Rezidivs.
Daher wird in einem nächsten Schritt die offen operative möglichst weitgehende Resektion, plastische Deckung und Anlage einer lymphovenösen Anastomose durchgeführt.
Die Hautbeteiligung einer lymphatischen Malformation (LM), hier in Form von mikrozystischen Anteilen, die exophytisch in beetartigen kleinen Lymphvesikeln (Lymphangioma circumscriptum) in Erscheinung treten, ist auf Dauer besonders schwierig zu behandeln. Eine direkte Resektion ist aufgrund der Gefahr der permanenten lymphatischen Leckage meist nicht möglich, auch kann es auf den transferierten gestielten mikrovaskulären Lappen zu Rezidiven kommen. Durch etappenweise Kombination von verschiedenen Therapieverfahren (hier Sklerosierung, Lasertherapie und offene Resektion) kann auch in diesen Fällen oft eine dauerhafte Heilung erzielt werden.
Publiziert: 2020
Alle Abbildungen © Wohlgemuth