Autor/en: Wohlgemuth, Walter A.
Autor/en: Wohlgemuth, Walter A.
Umschriebene, weiche, zum Teil zunehmende Schwellung an der rechten Bauchwand und Flanke. Zwei alte Narben nach erfolgloser offener Teilresektion. Umschriebene Schmerzen im Bereich der Schwellung, die darüber liegende Haut ist nicht dyskoloriert.
Am Oberrand der kranialen Narbe kleine Lymphvesikel an der Haut im Sinne eines Lymphangioma circumscriptum, das zeitweise klar-gelbliche Lymphe sezerniert (Lymphorrhoe).
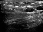
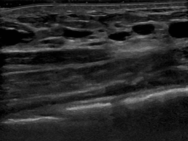
Umschriebene, makrozystische Malformation an der Bauchwand im Ultraschall. Beachte die echofreie Flüssigkeit in den mit Lymphe gefüllten, dünnwandigen zystischen Räumen.
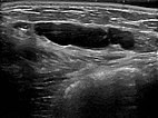
Ultraschall der Bauchwand, etwas weiter kaudal. Hier sind die zystischen Anteile der Lymphatischen Malformation kleiner. Die Läsion liegt jedoch weiterhin extraperitoneal.
Koronare, T2-gewichtete, fettunterdrückte MRT des Unterbauchs auf Höhe der Leisten. Unauffällige Leistenlymphknoten. Die lymphatische Malformation der Bauchwand stellt sich in großen, dysplastischen, ballonartigen, gekammerten Zysten dar, die stark hyperintens (weiß) sind.
Gleiche Schnittführung in der nativen T1-Wichtung (MRT). Die Zysten der lymphatischen Malformation sind isointens zur Muskulatur. Damit keine lokale Einblutung.
Die transversale, T2-gewichtete, fettunterdrückte MRT auf Höhe der Beckenschaufel zeigt die Ausdehnung der LM auch im Bereich der rechten Flanke. Nur die epifaszialen Anteile der Bauch- und Rumpfwand sind betroffen.
Die transversale, T1-gewichtete, fettunterdrückte MRT nach Kontrastmittelgabe zeigt nur ein minimales Enhancement der dünnen Wände der lymphatischen Malformation. Dies ist typisch für eine LM.
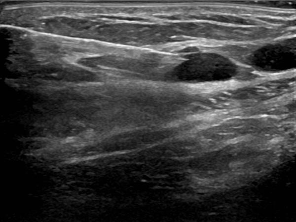
Ultraschallgesteuerte Punktion des zystischen Anteils der LM während der Sklerosierung. Über diese Punktionsnadel wird die LM zunächst kontrastiert, anschließend aspiriert und das Sklerosierungsmittel eingebracht.
Übersichtröntgenbild im Bereich der rechten Beckenschaufel nach Injektion von Kontrastmittel über die in der LM liegende Nadel. Es kontrastieren sich aus dieser Nadellage weite Anteile der LM, damit optimale Position für die Sklerosierung.
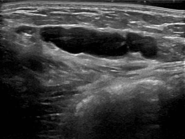
Erneute Punktion ca. 5 cm weiter kranial in ein weiteres Kompartment der lymphatischen Malformation. Dieses Kompartment der LM kommuniziert nicht mit dem weiter unten noch sichtbaren Anteil der LM. Es muss daher extra punktiert und sklerosiert werden um die gesamte LM erfolgreich zu sklerosieren.
Erneute Sklerosierungstherapie in einer zweiten Sitzung in Direktpunktionstechnik unter Ultraschallsteuerung in die restlichen zystischen Areale der LM (Röntgenübersichtsbild nach KM-Injektion über die Nadel). Nach Anspritzen von Kontrastmittel wird die restliche LM möglichst vollständig entleert. Erneute Sklerosierungstherapie mittels Picibanil (OK-432).
In der Ultraschallkontrolle 6 Monate nach der 2. Therapie sind nur noch sehr kleine zystische Anteile der LM nachzuweisen. Die größeren Zysten sind verschlossen. Da die Patientin asymptomatisch ist können diese bei einer an sich benignen Läsion belassen werden.
Die Schwellung der Bauchwand durch die LM ist praktisch vollständig zurückgebildet. Die Patientin hat keine Schmerzen mehr. Das Lymphangioma circumscriptum ist abgedichtet und hat sich zurückgebildet.
Makrozystische lymphatische Malformationen (LM), die direkt an der Haut liegen, können durch den hohen lokalen Lymphdruck zu einem Durchtritt von Lymphflüssigkeit durch die Haut über kleine Hautbläschen (Lymphvesikel) führen. Diese Areale werden Lymphangioma circumscriptum genannt. Durch eine Sklerosierungstherapie (hier mit Picibanil = OK-432) werden die Lymphkanäle über eine starke lokale Entzündung verschlossen und die Haut abgedichtet. Günstig in diesem Fall die größeren Anteile der lymphatischen Malformation, die miteinander kommunizieren (nach Injektion von KM über die Punktionsnadel sichtbar). Daher sind nur wenige Punktionen notwendig um die gesamte lymphatische Malformation zu sklerosieren. Dieses minimalinvasive Verfahren ist meist auf Dauer schonender als offen operative Maßnahmen, da einzelne, auch kleine Kammern in den oft fuchsbauartig verzweigten LM mit dem flüssigen Sklerosierungsmittel leicht erreicht werden können.
Publiziert: 2018
Alle Abbildungen © Wohlgemuth