Gefäßchirurgie

  • Kapitel: Invasive Therapie

    Artikel: 11 von 15

    Update: 2020/02/28

  • Autor/en: Lang, Werner

Gefäßchirurgische Eingriffe bei angeborenen Gefäßerkrankungen sind selten und häufig mit anderen Maßnahmen verbunden.

Nach Loose sind 6 verschiedene chirurgische Taktiken etabliert:

  • Rekonstruktive Operationen
  • Operationen zur Reduktion der hämodynamischen Aktivität
  • Operationen zur Beseitigung des Gefäßfehlers
  • Eine kombinierte Therapie
  • Unkonventionelle Therapieverfahren (z. B. Skelettierungen) und
  • Multidisziplinäre Behandlungen

Die sonst typischen rekonstruktiven Operationen wie sie z. B. bei der peripheren arteriellen Verschlusskrankheit oder bei Aneurysmen durchgeführt werden, sind bei angeborenen Gefäßerkrankungen selten indiziert. Wie die Auswahl der o. g. Taktiken im Rahmen von 1.892 Fällen an 4 europäischen Zentren zeigt, war der Anteil rekonstruktiver Verfahren mit 6,3 % ebenso gering, wie der zur Reduktion der hämodynamischen Aktivität (2,8 %).

Schwierig ist die Auswahl des richtigen Zeitpunkts.

  • Wird zu früh gefäßchirurgisch eingegriffen ist möglicherweise der Eingriff zu invasiv, ggf. sogar unnötig.
  • Bei zu später Operation wird die Behandlung u. U. zu spät durchgeführt.

Als optimaler Zeitraum für die gefäßchirurgische Therapie bei Kindern wird z. B. bei Beteiligung des Bewegungsapparates der Zeitraum zwischen dem 3. und 7. Lebensjahr angesehen, da dann das differente Längenwachstum noch kompensiert werden kann.

Eine rekonstruktive Operation kommt nur bei großen, dysplastischen Gefäßen in betracht.

Beispiele hierfür sind z. B. lokalisierte aneurysmatische Erweiterungen an Arterien und Venen.

Von großer Bedeutung ist die hierbei die Wahl des Gefäßersatzmaterials:

Kunststoffe haben den Nachteil der geringeren Durchgängigkeitsraten im Langzeitverlauf und das Problem der erhöhten Infektionsgefahr, besonders bei Rezidiveingriffen und bei Eingriffen mit schlechter Weichteildeckung. Dafür ist im Gegenzug die Stabilität sehr hoch.

Im Vergleich dazu sind bei autologen Transplantaten degenerative oder aneurysmatische Veränderungen im Spätverlauf möglich.

Operationen zur Reduktion der Hämodynamik (arteriell und/oder venös) sind primär nicht kurativ, also vollständig heilend ausgelegt.

Es ist nur bei kleinen, sehr lokalisierten Prozessen in seltenen Fällen möglich, eine ausreichende primäre Radikalität zu erreichen. Meist werden diese Eingriffe dann mehrzeitig oder in Kombination mit anderen Verfahren durchgeführt (z. B. zusätzliche Sklerosierung oder Embolisation).

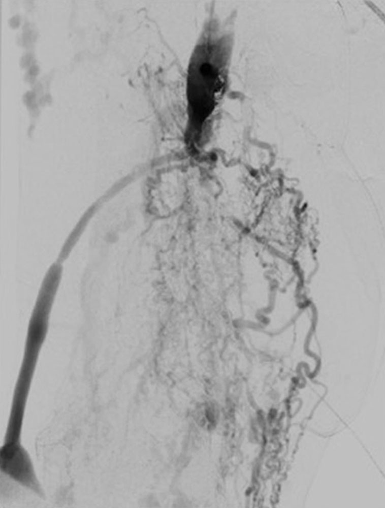
Bei arteriovenösen Malformationen hat sich die Technik der Skelettierung der Gefäße mit Unterbindung von zuführenden Fistelästen nicht bewährt, da sich häufig über Kollateralverbindungen eine identische Füllung und Hämodynamik ergeben kann.

Es ist zu beachten, bei resezierenden Verfahren mit Unterbindung arterieller oder venöser Verbindungen, keine Gefäße zu unterbrechen, die für spätere endovaskuläre Techniken als Zugangsgefäße dienen müssen.
Dies muss bei der Planung berücksichtigt werden.

Inzwischen werden resezierende Verfahren an den Gefäßen üblicherweise erst nach oder in Kombination mit endovaskulären Techniken eingesetzt.

Venöse Malformationen mit Hypertension können operativ bei dicken, dysplastischen Venenstämmen und insuffizienten Verbindungsvenen durch eine Umstechung oder Ligatur der Hauptvenen behandelt werden.

Viele dieser venösen Malformationen haben sehr dünne Wände, die bei der Präparation und Umstechung sehr leicht einreißen. Dies macht Operationen technisch schwierig. Es besteht dann die Gefahr eines höheren Blutverlustes, vor allem bei schwammartiger Morphologie mit großer Oberfläche.

Bei Lokalisation der Malformation an den Gliedmaßen sind vorbeugende Maßnahmen z. B. die Anwendung einer Blutsperre oder Blutleere angezeigt.

Die gefäßchirurgische Therapie hat ggf. Vorteile gegenüber Behandlungen mit Strahlungsexposition aufgrund der Lokalisation. Beispielsweise ist die gefäßchirurgische Umstechung und chirurgische Resektion oft aufgrund der fehlenden Strahlenexposition des Hodens einer mehrfachen Sklerotherapie bei umfangreichen Malformationen vorzuziehen.

Zusammenfassend läßt sich feststellen, dass eine gefäßchirurgische Therapie bei Gefäßmalformationen nur bei einem geringen Prozentsatz erforderlich ist.

Operative Verfahren ergänzen bei Bedarf die endovaskuläre Therapie oder schaffen Zugangswege für die Kathetertechniken.