Autor/en: Sadick, Maliha
Autor/en: Sadick, Maliha
26-jährige Patientin mit Rezidiv einer AVM am Digitus III der rechten Hand. Ansicht von dorsal und palmar nach erfolgter transarterieller Embolisation vor 2 Jahren. Rezidivierende, schmerzhafte Schwellung D III mit tastbaren Pulsationen und Schwirren.
Nach bereits erfolgter transarterieller Teilembolisation der AVM am Finger vor 2 Jahren zeigt sich ein Rezidiv der AVM. Bei der Embolisation wurde nur ein Teil der AVM verschlossen, dies erhöht die Gefahr eines Rezidivs. Der alte Cast der vorherigen Embolisation ist zentral als Kontrastmittelaussparung zu erkennen.
Das Rezidiv der AVM hier in der vergrößerten Zielaufnahme des D III während der Angiographie mit deutlicher Vergrößerung im Vergleich zu den alten Angiographien (nicht abgebildet). Die DSA-Aufnahmen nach transarterieller antegrader Punktion der Arteria brachialis zeigen eine hypervaskularisierte AVM von Fingermittel und -endglied.
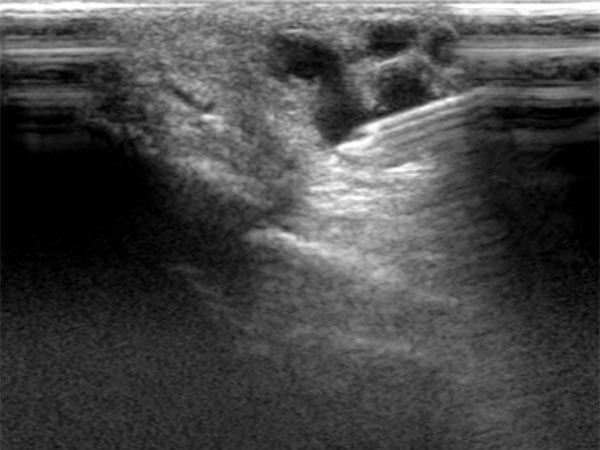
Im Ultraschall imponiert subkutan epifaszial am dritten Finger eine dilatierte Drainagevene aus der digitalen AVM. In der Farbduplexsonographie (FKDS) bestätigt sich der fast-flow arterio-venöse Shunt mit hohem Durchfluss.
Nachdem es technisch nicht möglich ist, die AVM zur Re-Embolisation nur von transarteriell zu behandeln, wird sonographisch gesteuert nun der perkutane Behandlungsweg in Direktpunktionstechnik gewählt.
Perkutanes, sonograhisch gesteuertes Vorschieben der Punktionsnadel in die Drainagevene der digitalen AVM.
Fluoroskopische Darstellung der Punktionsnadel bei Beginn der direkten perkutanen Embolisationstherapie am Finger mit einem Flüssigembolisat (EVOH). Zusätzlich sichtbar der nicht ganz bis zum Nidus vorgeschobene Mikrokatheter.
Fluoroskopische Abschlußkontrolle nach erfolgreicher Nidusembolisation der AVM. Der transarteriell von brachial eingebrachte Mikrokatheter wurde während der perkutanen Embolisation als Landmarke für die zuführende Arteria digitalis propria belassen. Zusätzlich sichtbar röntgendichte Markierungen durch auf der Haut aufliegende Kompressen.
Nach Embolisation jetzt deutlich echoreiche Formationen mit dorsalem Schallschatten im Gefäß durch das Embolisat nach Auffüllen des AVM Nidus.
Angiographische Abschlußkontrolle mittels Katheterangiographie der rechten Hand von transarteriell über die Arteria ulnaris. Komplette Devaskularisation des AVM Nidus, keine Fast-flow-Shunts mehr angiographisch abzugrenzen. Der Befund ist damit resektionsfähig.
Fluoroskopische Darstellung des Cast nach erfolgreicher Nidusembolisation der AVM. Zur besseren Orientierung für die Operationsplanung erfolgt diese Darstellung auch noch einmal ohne Subtraktion mit sichtbaren Knochen.
Palmare und dorsale Ansicht von DIII rechts nach perkutaner Embolisation vor 5 Tagen. Deutliche Schwellung nach Embolisation ulnarseitig entlang des dritten Fingers. Klinisch keine Schmerzen mehr und keine Pulsationen oder Schwirren jetzt im Finger bei intakter Senso-Motorik.
Intraoperatives Bild der mikrochirurgischen Präparation des Mittelfingers rechts zur Entfernung des embolisierten Nidus. Zentral in den embolisierten Gefäßen ist das schwarze Embolisat erkennbar.
Intraoperatives Bild nach vollständiger Resektion des embolisierten Nidus mit abschließender Naht der OP Wunde.
Das hier demonstrierte Rezidiv einer arteriovenösen Malformation (AVM) des Fingers D III rechts nach vorheriger wohl nicht kompletter Embolisation wurde erneut perkutan embolisiert, um eine anschließende möglichst radikale Resektion zu ermöglichen und ein weiteres Rezidiv zu vermeiden. Ultraschall und Fluoroskopie waren hierbei sehr wertvolle Maßnahmen für die Planung und Durchführung des Eingriffs.
Nachdem unter sonographischer und angiographischer Steuerung eine erfolgreiche Ausschaltung des Nidus vorgenommen werden konnte, wurde im Anschluß die chirurgische Nidusresektion durchgeführt.
Der transarterielle Zugang zu einer AVM ist sehr relevant für die intraprozedurale Bildgebung und Kontrolle, aber nicht zwingend alleiniger Behandlungszugang.
Im Falle von komplexen anatomischen Gegebenheiten mit nur sehr schweren Zugangsmöglichkeiten für einen transarteriellen Mikrokatheter ist die perkutane Embolisation der AVM in Direktpunktionstechnik in Erwägung zu ziehen, insbesondere bei dilatierten Drainagevenen. Ultraschall mit Farbduplex ist hierfür ein wertvolles diagnostisches Tool.
Publiziert: 2018
Alle Abbildungen © Sadick