Maffucci-Syndrom

Definition

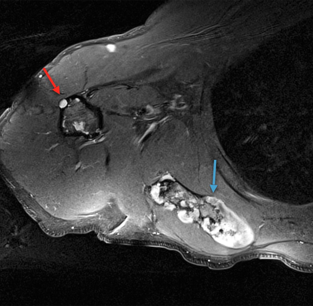
Das Maffucci-Syndrom ist charakterisiert durch multiple Enchondrome, oft sichtbar als umschriebene derbe Auftreibungen an Fingern und/oder Zehen in Kombination mit Spindelzell-Hämangiomen. Synonym: Enchondromatosis Ollier-Maffucci.

Genetische Grundlage

Das Maffucci-Syndrom tritt sporadisch (nicht familiär) auf. Es beruht auf einem genetischen Mosaik. Ursächlich sind somatische (nur im betroffenen Gewebe vorhandene, postzygotische) Mutationen eines der beiden Gene IDH1 und IDH2, die zur Veränderung des Enzyms Isocitrat-Dehydrogenase führen, sodass ein neuer Metabolit (D-2-Hydroxy-Glutarat) produziert wird. Dadurch erfolgt wahrscheinlich eine Aktivierung von Signalwegen, die zur Enchondromentstehung führen.

Klinisches Erscheinungsbild

Der Überwuchs beim Maffucci-Syndrom ist gekennzeichnet durch prallelastisch-derbe, indolente, einem Knochen zuzuordnende, aus dysplastischem Knorpelgewebe stammenden Auftreibungen (Enchondrome). Diese können uni- oder bilateral, aber meist deutlich asymmetrisch vorliegen. Durch die Enchondrome kann es, je nach Lokalisation, zur Wachstumsreduktion und Verkrümmung betroffener Gliedmaßenabschnitte kommen. Am häufigsten sind Unterarme und Unterschenkel, oft aber auch Hände und Füße betroffen.

Die Gefäßveränderungen beim Mafucci-Syndrom sind multifokale, derbe, bläulich-rötliche, berührungsempfindliche Gefäßknoten der Subkutis („Spindelzell-Hämangiome“), die einer venösen Malformation ähneln, jedoch histologisch von dieser zu unterscheiden sind.

Enchondrom-Herde können bis zur Adoleszenz auftreten, danach i. d. R. kein Neuauftreten, vielmehr Restitution berichtet. Eine maligne Entartung von Enchondromen zum Chondrosarkom kann im Erwachsenenalter vorkommen, das Entartungsrisiko wird mit maximal 25 % angegeben.

Cave: erneute Wachstumsaufnahme eines Herdes.

Therapie

  • Kontrolle und ggf. Exstirpationen der Enchondrome bei Verdacht auf Malignomentwicklung, Funktionseinschränkungen sowie deutlicher Formveränderung („Entstellung“).
  • Orthopädische Regulierung konservativ oder operativ bei Beinlängendifferenzen.
  • Sklerotherapie oder Exstirpation der Spindelzell-Hämangiome.