Skoliose

  • Kapitel: Orthopädische Probleme bei Gefäßmalformationen

    Artikel: 6 von 9

    Update: 2020/03/05

  • Autor/en: Kertai, Michael Amir

Unter Skoliose versteht man die Verkrümmung der Wirbelsäule. Diese besteht im Wesentlichen aus zwei Komponenten, zum einen aus der Rotation der Wirbelkörper, zum anderen aus dem seitlichen Abweichen von Anteilen der Wirbelsäule aus der Sagittalebene.

Letzteres kann soweit gehen, dass die gesamte Wirbelsäule aus dem Lot kommt, was unter der üblichen mechanischen Belastung, der die Wirbelsäule ausgesetzt ist, durch die daraus resultierende Asymmetrie im Sinne eines Teufelskreises zu einem noch schnelleren Voranschreiten der Skoliose führt.

Interessanterweise ist die Auswirkung einer Skoliose auf Beschwerden bisher nicht gut nachgewiesen. So ist zwar bekannt, dass sehr schwere Skoliosen zu Atmungsproblemen führen können, ob aber bereits leichtere Verkrümmungen der Wirbelsäule gehäuft zu Rückenschmerzen führen, ist umstritten.

Eine wesentliche Indikation zur Behandlung der Skoliose ist daher die sog. Rückenkosmetik, also die optische Erscheinung. Obwohl dies kein typisch medizinisches Problem darstellt, kann eine Skoliose entstellend sein und die betroffenen Patienten entsprechend stigmatisieren.

Ursachen

Die genaue Ursache der Entwicklung einer Skoliose ist nicht endgültig geklärt. Im Zusammenhang mit Gefäßmalformationen stehen jedoch zwei nennenswerte Faktoren im Vordergrund, die zur Ausbildung einer Skoliose beitragen können:

Als Folge eines Beckenschiefstandes, der wiederum auf eine Beinlängendifferenz zurückzuführen ist, kann es zur Ausbildung einer sekundären Skoliose kommen. Es ist jedoch zu beachten, dass bei weitem nicht jede Beinlängendifferenz zu einer Skoliose führt und nach der aktuellen Studienlage auch kein direkt proportionaler Zusammenhang zwischen dem Ausmaß der Beinlängendifferenz und der Wahrscheinlichkeit der Entwicklung einer Skoliose besteht. Unstrittig ist jedoch die prinzipiell erhöhte Wahrscheinlichkeit für eine Skoliose ab einer nennenswerten (ab etwa 2 cm) Beinlängendifferenz.

Zum anderen findet man bei Hemihyperplasie-Syndromen beziehungsweise asymmetrischen Hyperplasie-Syndromen gehäuft Skoliosen, die möglicherweise analog zur Entstehung einer Beinlängendifferenz auf ein asymmetrisches Wachstum der Wirbelkörper zurückzuführen sind. Diese sind als syndromale Skoliosen anzusehen.

Beim CLOVES-Syndrom ist die Skoliose als typische Begleiterscheinung anzusehen und stellt das „S“ im Namen dieser Erkrankung dar.

Diagnostik

Klinische Untersuchung

Eine wesentliche Diagnostik, die bei allen Patienten mit Gefäßmalformationen der unteren Extremität durchgeführt werden sollte, ist die regelmäßige klinische orthopädische Untersuchung.

Diese erfolgt für die Wirbelsäule im Stehen und bei vorhandener Beinlängendifferenz nach Ausgleich dieser durch Unterlegen von Holz-Brettchen unter den Fuß der kürzeren Extremität.

Der Patient wird von hinten betrachtet, hierbei achtet man auf eine mögliche Asymmetrie der Taillendreiecke, die Ausrichtung der Wirbelsäule und den Schulterstand im Seitenvergleich. Bezüglich der Ausrichtung der Wirbelsäule ist insbesondere darauf zu achten, ob diese aus dem senkrechten Lot läuft. Am einfachsten betrachtet man hierfür den prominenten Halswirbel C7 und überprüft ob man von diesem aus ein Lot auf das Kreuzbein fällen kann.

Zusätzlich erfolgt eine Betrachtung des Patienten von der Seite, bei der die Ausprägung der Doppel-S-Kurve der Wirbelsäule begutachtet werden kann. In der Regel führt eine Skoliose zur Abflachung der Doppel-S-Kurve.

Abschließend erfolgt der so genannte Vorneigetest bei dem der Patient den Rücken beugt und die Arme in Richtung Boden hängen lässt. Nun muss der Untersucher so weit in die Knie gehen, dass er mit den Augen auf Höhe der Wirbelsäule des Patienten ist. So betrachtet er den Patienten wieder von hinten und überprüft, ob die Höhe der hinteren Rumpfwand auf beiden Seiten der Wirbelsäule symmetrisch ist. Steht auf der einen Seite die Rumpfwand höher als auf der anderen Seite, so spricht man von einem Rippen- oder Lendenwulst (je nach Lokalisation).

Erst der Nachweis eines Rippen- oder Lendenwulstes ermöglicht die klinische Diagnose einer Skoliose. Zeigt die Wirbelsäule lediglich beim aufrechten Stehen eine Abweichung aus der Sagittalebene, so ist dies allein zwar ein Zeichen einer Asymmetrie, nicht aber einer Skoliose. In der Regel erfolgt beim Vorhandensein eine Asymmetrie im Vorneigetest die Messung dieser mittels Skoliometer. Zeigt es eine Neigung von mehr als 5° an, so besteht die Indikation zur Durchführung einer Röntgenaufnahme der Wirbelsäule.

Bildgebung

Die Röntgenaufnahme muss ebenfalls stehend und in der Regel als p.a.-Aufnahme der gesamten Wirbelsäule auf einer Röntgenplatte (meist zusammengesetzt) erfolgen.

Hierbei wird der Cobb-Winkel, der Rippenwinkel und die Rotation der Wirbelkörper beurteilt.

Darüber hinaus kann, wenn eine Prognose über die Progredienz der Skoliose gestellt werden soll, das zu erwartende Wirbelsäulenwachstum mithilfe der Beurteilung der Beckenkammapophyse durchgeführt werden (sog. Risser-Stadium). In diesem Fall sollte auf der Ganzwirbelsäulenröntgenaufnahme auch der Beckenkamm abgebildet sein.

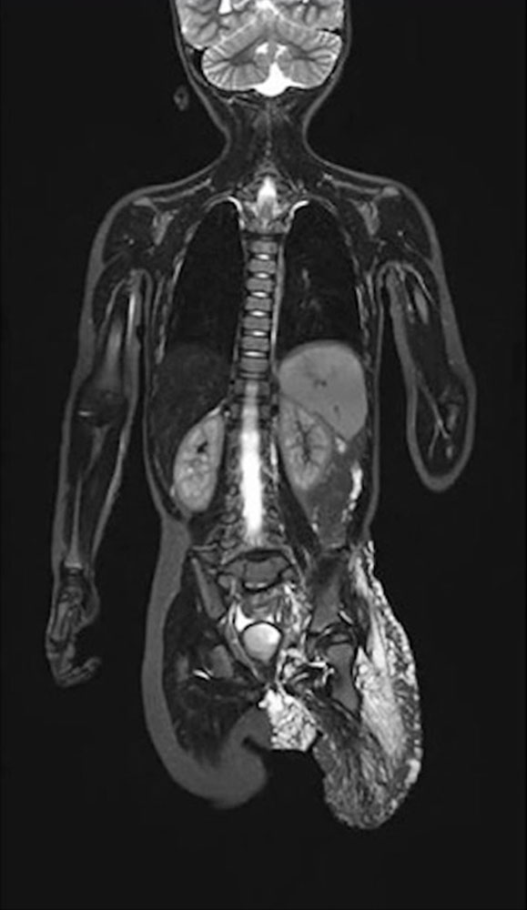
Bei Patienten mit Gefäßanomalien sollte in der Regel nach Diagnostik einer Skoliose ein MRT der Wirbelsäule folgen, um unterscheiden zu können, ob die Wirbelsäulenverkrümmung auf eine Gefäßmalformation im Bereich der Wirbelsäule selbst (z. B. beim CLOVES-Syndrom) oder eine mögliche Beinlängendifferenz zurückzuführen ist. Oder aber, ob es sich um eine idiopathische Skoliose handelt, die unabhängig von der Gefäßmalformation bei dem Patienten vorhanden ist.

Therapie

Prinzipiell kommen bei der Behandlung von Patienten mit Gefäßanomalien und Skoliose dieselben Optionen in Frage wie bei idiopathischen Skoliosen. Diese sind Physiotherapie, Korsettbehandlung und operative Korrekturen. Ergänzt werden diese oft noch durch eine direkte Therapie der Gefäßmalformation.

Sekundäre Skoliosen

Die Behandlung sekundärer Skoliosen ist prinzipiell nach den gleichen Gesichtspunkten wie die der idiopathischen Skoliose durchzuführen.

Prophylaktisch muss bei einer bestehenden Beinlängendifferenz diese natürlich ausgeglichen werden (siehe Extremitätenlängendifferenz).

Die Behandlung selbst richtet sich im Wesentlichen nach dem Skoliosewinkel nach Cobb und dem Alter des Patienten.

Geringgradige Skoliosen werden in der Regel mit spezieller Physiotherapie und selbsterlernten Übungen behandelt, schwerere Skoliosen mit einem Korsett. Ab einem Cobb-Winkel von 50° ist eine operative Therapie zu erwägen.

Primäre Skoliosen

Auch bei den primären Skoliosen bestehen die soeben genannten Therapieoptionen, allerdings ist deren Therapieerfolg bisher nicht mit ausreichender Evidenz nachgewiesen. Dies liegt im Falle von Skoliosen bei Gefäßanomalien an deren ausgesprochener Seltenheit und hierbei auch noch unterschiedlicher individueller Ausprägungen der Beteiligung.

Von anderen Erkrankungen mit primären oder syndromalen Skoliosen wissen wir aber, dass die nicht-operativen Maßnahmen wesentlich schlechtere Ergebnisse zeigen, als bei idiopathischen Skoliosen.

Im Rahmen von Gefäßmalformationen kommt noch dazu, dass die Korsetttherapie durch die teils schmerzhaften Gefäßfehlbildungen erschwert wird.

In der Regel wird daher die Behandlung solcher Skoliosen individuell durchgeführt. Die Bereitschaft des Behandelnden, gewisse Ausmaße der Wirbelsäulenverkrümmung zu tolerieren, ohne sie zu therapieren, wird in der Regel größer sein, als dies bei idiopathischen Skoliosen der Fall wäre.

Zudem sind die Wirbelkörper selbst oder ihre unmittelbare Umgebung zuweilen in die Gefäßmalformation einbezogen in Sinne einer Durchsetzung mit pathologischen Gefäßen. Dies erschwert die operative Behandlung der Skoliose erheblich und erfordert eine vorherige interventionelle Sanierung dieser Gefäße (z. B. mittels Sklerosierung oder Embolisation).