Autor/en: Kertai, Michael Amir
Autor/en: Kertai, Michael Amir
Linkes Knie in maximal aktiv möglicher Streckung. Die Narbe deutet auf einen vorherigen Versuch hin, den Tumor zu entfernen.
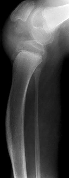
Seitliches Röntgenbild des linken Kniegelenkes mit Fehlwachstum von Ober- und Unterschenkel. Die Tibia hat in diesem Bereich im Wachstum eine Krümmung angenommen. Die Fibula steht dagegen gerade. Dennoch ist das wesentliche Problem auf das Kniegelenk beschränkt.
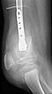
Durch eine operative Angleichung der Achse des Oberschenkels kann das Kniegelenk direkt postoperativ gestreckt werden. Fixation mittels einer Osteosynthese. Die Beinlängendifferenz konnte durch die gleichzeitige Entnahme eines Knochenkeils ausgeglichen werden.
Dieser 12-jährige Patient mit PTEN-Hamartom-Tumor-Syndrom hat im Bereich seines Oberschenkels direkt über der Kniescheibe ein progredient wachsendes, schmerzhaftes PTEN-Hamartom entwickelt. Infolge von Schmerzen u. a. durch den mechanischen Druck bei Kniestreckung (Kniescheibe drückt gegen den Tumor) wurde zur Schmerzvermeidung stets eine Kniebeugehaltung eingenommen. Eine aktive Kniestreckung war im Verlauf auch durch das Fehlwachstum des Oberschenkelknochens nicht mehr möglich.
Zudem hatte der Patient eine Beinlängendifferenz mit einer Überlänge von ca. 3 cm des linken, betroffenen Beines.
Publiziert: 2018
Alle Abbildungen © Kertai