Autor/en: Sadick, Maliha
Autor/en: Sadick, Maliha
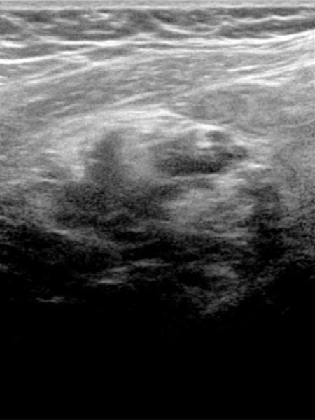
Bildgebung vor der Schwangerschaft im Ultraschall mit 10,4 MHz Linearschallkopf. Nachweis einer intramuskulären subfaszialen venösen Malformation mit multiplen echoverminderten Venenkonvoluten.
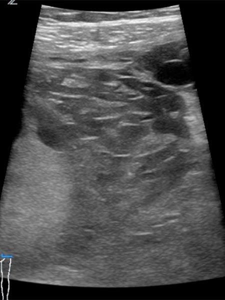
In der 21. Schwangerschaftswoche dann deutliche Vergrößerung der venösen Malformation im Ultraschall mit 10,4 MHz Linearschallkopf. Progredienz der intramuskulären subfaszialen venösen Malformation mit multiplen echoverminderten Venenkonvoluten und deutlicher Strukturauflockerung der echoverminderten und nun zum Teil auch echovermehrten Venenkonvolute durch Gerinselbildung.
Koronare (oben) und axiale (unten) T2-gewichtete, fettunterdrückte Haste-Sequenzen ohne Kontrastmittel bei der Erstuntersuchung vor der Schwangerschaft.
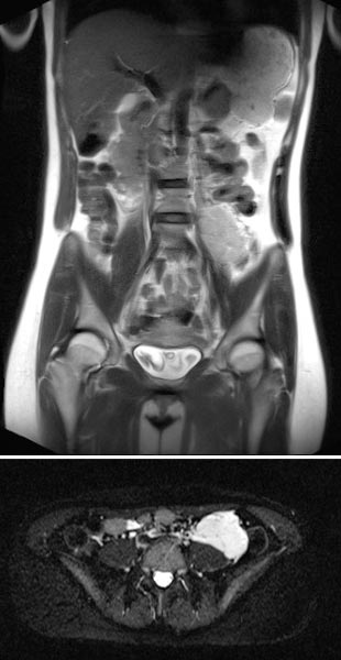
Koronare (oben) und axiale (unten) T2-gewichtete Haste-Sequenzen ohne Kontrastmittel in der 21. Schwangerschaftswoche.
Während der Schwangerschaft deutliche Größenzunahme der VM, die ventral des linken Musculus posas als signalintense Läsion zur Darstellung kommt, ohne Verdrängung oder Kompression der Plazenta.
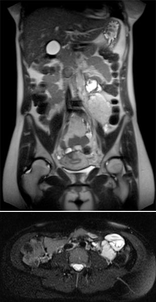
Koronare native T2-Haste-Sequenzen zur Verlaufsbeurteilung der VM ventral auf dem linken Musculus psoas aufsitzend in der 21. Schwangerschaftswoche. Während der Gravidität entwickelt die Patientin auch eine Harnstauungsniere Grad III rechts.
In der axialen T2-HASTE-Sequenz in der 21. Schwangerschaftswoche grenzt die VM an die Plazenta, ohne Verdrängung oder Verlagerung von Uterus oder des Fötus.
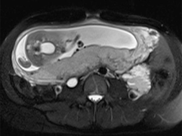
Koronare und axiale T2-gewichtete Haste-Sequenzen ohne Kontrastmittel 8 Wochen nach der Entbindung. Postpartal zeigt sich wieder eine deutliche Größenreduktion der venösen Malformation.
Eine als Zufallsbefund diagnostizierte venöse Malformation (VM) intraabdominell wird während der Schwangerschaft der Patientin im MRT kontrolliert.
Native T2 gewichtete Sequenzen an einem 1,5T-MRT-Scanner ermöglichen die Verlaufskontrolle ohne Gefährdung des Foeten.
In der 21. SSW ist es durch die Hormonstimulation in der Schwangerschaft zu einer Größenzunahme der VM intraabdominell gekommen, jedoch liegt keine Verlagerung der Plazenta vor. Eine weitere Verlaufskontrolle war ca. 3–4 Wochen vor der Entbindung geplant. Diese ist relevant, um mögliche geburtshilfliche Komplikationen zu vermeiden und im Falle einer eventuell notwendigen Sectio caesarea intraprozedurale Blutungskomplikationen zu vermeiden. Die Patientin mußte jedoch aufgrund vorzeitiger Wehen bereits in der 35. SSW entbinden. Eine erneute MRT konnte zeitlich nicht mehr durchgeführt werden. Es kam zu einer unkomplizierten Spontangeburt.
Die venöse Malformation zeigt 8 Wochen nach Entbindung bereits wieder eine deutliche Größenregredienz, sodass bei der stillenden Mutter aktuell keine minimalinvasive Behandlung mittels Sklerotherapie notwendig ist. Die große venöse Malformation war zu diesem Zeitpunkt auch asymptomatisch.
Publiziert: 2018
Alle Abbildungen © Sadick