Autor/en: Wohlgemuth, Walter A.
Autor/en: Wohlgemuth, Walter A.
Patientin mit langsam über Jahre progredienten, kleinen kirschroten Pünktchen an der Unterlippe (Osler Spots). Es besteht ein rezidivierendes Nasenbluten seit der Kindheit, ebenso bei Vater und Großvater.
Ähnliche kleine rote, blutgefüllte Punkte haben sich an den Fingerspitzen gebildet. Sie bestehen aus erweiterten Blutgefäßen (Osler Spots).
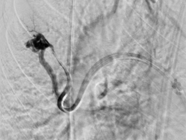
Bei der Abklärung der Grunderkrankung wurde in der Kontrastmittel-Sonographie ein pulmonaler Rechts-links-Shunt gefunden, die Computertomographie bestätigte den Befund mehrerer pulmonaler AVM. Aufgrund der Größe, Indikation zur Embolisation. Die digitale Subtraktionsangiographie zeigt eine bereits superselektiv kanülierte pulmonale AVM im Oberlappen mit der typischen aneurysmatisch erweiterten arteriovenösen Kommunikation.
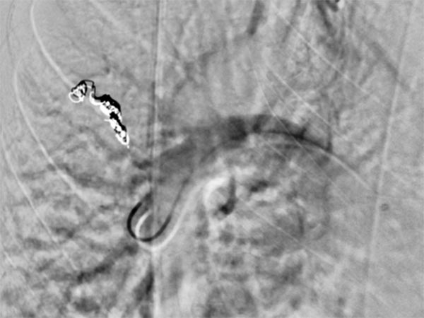
Verschluss der pulmonalen AVM des Oberlappens durch Einbringen von mehreren Platindrahtsprialen (Coils) über den Mikrokatheter unter Schonung der nicht pathologischen Lungenarterien.
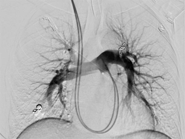
Über das Herz wurde vom Hals (transjugulär) eine Schleuse in die rechte Pulmonalarterie eingebracht, hierüber ein Koaxialkatheter. Nach Injektion von Kontrastmittel zeigen sich auch im rechten Unterlappen Lungenstrombahn pulmonale AVMs.
Nach Sondierung der größeren pulmonalen AVM zeigt sich ebenfalls eine für den Morbus Osler typische Dilatation der direkten arteriovenösen Kommunikation in Form eines Aneurysmas. Der venöse Abstrom ist stark dilatiert, damit ist die Gefahr einer Embolie besonders groß.
Die zuführenden Arterien werden mit mehreren Coils verschlossen. Zur sicheren Verankerung werden Teile der Coils in die arterielle Aufzweigung gelegt (Anker-Technik). Die pulmonale AVM ist verschlossen. Im ehemaligen Aneurysma steht noch etwas Kontrastmittel von einer vorherigen Injektion.
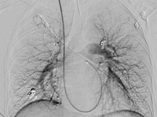
Die Abschluss-DSA über den Truncus pulmonalis zeigt keinen Zustrom mehr in die pulmonalen AVM.
Die Abschluss-DSA über den Truncus pulmonalis in der Parenchymphase bestätigt den vollständigen Verschluss der pulmonalen AVM.
Patientin mit rezidivierendem Nasenbluten seit dem 6. Lebensjahr. Positive Familienanamnese (Vater, Großvater), in 2 Schwangerschaften keine größeren Probleme. Keine gastrointestinale Symptomatik, Leber ohne pathologischen Befund, keine neurologische Symptomatik bisher. In der aktuellen Thorax-Computertomographie mehrere größere pulmonale AVM. Dabei 24 % Rechts-links-Shunt mit Verlust der Filterfunktion für Bakterien (septische Embolien) und für Thromben (arterielle Embolien, auch cerebral). Damit besteht eine klare klinische Gefährdung für diese Patientin, insbesondere hinsichtlich eines Schlaganfalles.
Heutzutage ist dies eine gute Indikation zum interventionellen Verschluss dieser pulmonalen AVMs, die typischerweise im Bereich des direkten arteriovenösen Kurzsschlusses deutlich dilatiert sind, in Form von Aneurysmen. Dies gelang bei der Patientin sehr gut. Sie ist in einem langjährigen Nachsorgeprogramm, um ein Rezidiv oder die Bildung von neuen pulmonalen AVMs sicher auszuschließen.
Publiziert: 2018
Alle Abbildungen © Wohlgemuth