Autor/en: Cangir, Özlem
Autor/en: Cangir, Özlem
18-jähriger Patient mit großer, schwammartiger Zunge (vollständig) und Unterlippe rechtsseitig und tastbaren Thrombophlebolithen im Bereich der rechten Wange bei venöser Malformation (VM). An der Haut der Wange rechtsseitig sichtbar ebenfalls eine VM.
Die sagittale und axiale, T2-gewichtete MRT des Gesichtes zeigt die ausgedehnte in der Zungen- und Wangenmuskulatur gelegene venöse Malformation.
Digitale Subtraktionsangiographie (DSA) nach Direktpunktion und Einführen einer Kanüle in die venöse Malformation während der Sklerosierungsbehandlung.
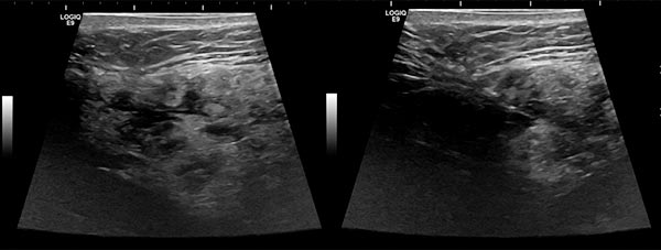
Ultraschallbilder (automatisch zusammengesetzte 2D-Darstellung) vor Sklerotherapie. Die initial echoärmeren Hohlräume der venösen Malformation werden durch die Inflammation, die durch die Sklerosierungstherapie induziert wird, verschlossen.
Ergebnis nach Sklerosierungen, Zungenkeilresektion, Lasertherapie und Lippenkorrektur-OP sowie erneuter Sklerosierungsbehandlung nach insgesamt 7 Eingriffen (inklusive Tracheostoma-Anlage und –Verschluss) und 10 Monaten Gesamtbehandlungsdauer.
Im Bereich der Zunge und der Wangen-/Lippenregion gelegene venöse Malformationen (VM) können bis in den Pharynx reichen. Für Ihre Behandlung ist ein sicherer Atemweg erforderlich, wofür eine passagere Tracheostomie manchmal bei ausgedehnten Befunden erforderlich ist. Des weiteren kann die Implantation eines zentralvenösen Katheters sowie eine längere intensivmedizinische Behandlung postoperativ bzw. postinterventionell erforderlich sein.
Die ausgedehnte VM kann zu einer lokalen intravasalen Koagulation (LIC) mit erhöhten D-Dimeren und niedrigem Fibrinogen führen. Dies bedarf einer engmaschigen internistischen/pädiatrischen Kontrolle und Therapie.
Unbehandelt führt die VM zu einer fortwährenden Vergrößerung der betroffenen Venen und erschwert den therapeutischen Zugang.
Publiziert: 2018
Alle Abbildungen © Cangir