Autor/en: Wohlgemuth, Walter A.
Autor/en: Wohlgemuth, Walter A.
Im Alter von 2 Jahren und einem Monat hat sich erstmals an einer bisher völlig unauffälligen Stelle medial supraklavikulär am Hals links eine kleine, deutlich schmerzhafte Schwellung gebildet. Dort damals auch eine geringe Verhärtung im Sinne einer akuten Thrombophlebitis innerhalb der venösen Malformation. Das Volumen der Schwellung bis zur klinischen Vorstellung acht Monate später war schwankend, mal etwas größer, mal etwas weniger groß. Das Volumen hat aber im Laufe der Monate insgesamt deutlich zugenommen. Die darüber liegende Haut ist minimal bläulich verfärbt.
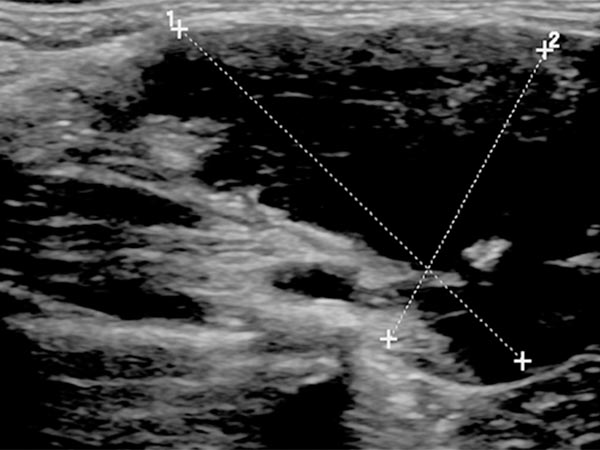
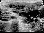
In der B-Bild-Sonographie (Längsschnitt) zeigt sich die venöse Malformation relativ homogen echoarm bis echofrei. Die venösen dysplastischen Gefäßkanäle sind mit dem Schallkopf kompressibel und enthalten flüssiges Blut.
In der B-Bild-Sonographie (Querschnitt) zeigt sich die venöse Malformation ebenfalls kombiniert echoarm bis echofrei. Die echoreicheren Anteile entsprechen Abschnitten der VM, in denen das enthaltene Blut bereits geronnen ist. In den echofreien Anteilen ist das enthaltene Blut noch flüssig. Zudem findet sich ein kleiner Phlebolith in der Läsion, dies ist praktisch pathognomonisch für eine venöse Malformation.
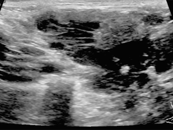
In der farbkodierten Duplexsonographie (FKDS) ist die venöse Malformation ebenfalls klar abgrenzbar. Da es sich um eine Slow-flow-Läsion handelt, zeigt sie hier praktisch keine Perfusion. Der Durchfluss durch die Läsion ist minimal. Farbsignale finden sich nur sehr wenige außerhalb der venösen Malformation, trotz niedrig gewählter Pulsrepetitionsfrequenz.
In der quantitativen, kontrastmittelunterstützten Sonographie (CEUS) werden zur Perfusionsanalyse der venösen Malformation mehrere Areale bzw. Untersuchungsvolumina kontinuierlich hinsichtlich ihrer Kontrastmittelanreicherung gemessen und ausgewertet. Die hier gemessenen Werte zeigen ebenfalls den klassischen Charakter einer Slow-flow-Läsion.
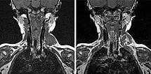
In der koronaren MRT (linkes Bild: T2-Wichtung, rechtes Bild: T1-Wichtung nativ) ist die venöse Malformation sehr gut abgrenzbar. In der T2-Wichtung ist sie stark hyperintens, in der nativen T1-Wichtung isointens zur Muskulatur. Die Signalgebung ist klassisch für den Charakter einer Slow-flow-Läsion.
In der koronaren MRT (linkes Bild: T2-Wichtung, rechtes Bild: T1-Wichtung nativ) etwas weiter dorsal, ist sehr gut ein größerer Thrombus innerhalb der venösen Malformation abgrenzbar. In der T2-Wichtung ist dieser hypointens im Vergleich zur stark hyperintensen VM. In der nativen T1-Wichtung ist er ganz gering hyperintenser als die umgebende hypointense VM.
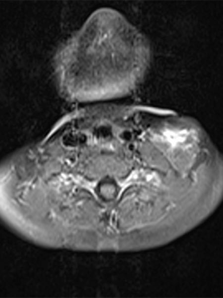
In der axialen MRT (T2-Wichtung) zeigt sich ebenfalls die dorsale Lage des größeren hypointensen Thrombus innerhalb der stark hyperintensen venösen Malformation. Zudem ein klassischer Flüssigkeits-Flüssigkeits-Spiegel innerhalb der VM. Die etwas signalärmeren, korpuskulären Bestandteile setzen sich mit der Schwerkraft nach dorsal ab (Rückenlage), das etwas signalreichere Blutserum „schwimmt“ oben (ventral) auf, dazwischen bildet sich ein Spiegel.
Die axiale MRT (T1-Wichtung) auf gleicher Höhe nach Kontrastmittelgabe zeigt eine zentrale Anreicherung innerhalb der venösen Malformation. Diese Anreicherung ist jedoch relativ langsam und erst Minuten nach KM-Injektion feststellbar und zum Zeitpunkt der Aufnahme noch unvollständig.
Die koronare MRT in T1-Wichtung, links vor und rechts nach Kontrastmittelgabe, auf gleicher Schnittebene zeigt die inhomogene, zu diesem Zeitpunkt noch unvollständige Kontrastmittelaufnahme sehr gut. Die Läsion nimmt langsam von zentral radspeichenartig KM auf.
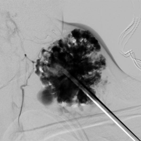
Aufgrund des schnellen Größenwachstums und der rezidivierenden, schmerzhaften Thrombophlebitiden wurde eine Sklerosierungstherapie durchgeführt. Die hier dargestellte Kontrastmittelinjektion über eine eingebrachte Punktionsnadel zeigt eine weitgehende Kontrastierung der venösen Malformation, somit gute Voraussetzungen für eine erfolgreiche Sklerosierungstherapie.
In der digitalen Subtraktionsangiographie nach KM-Injektion über die gleiche Nadel zeigt sich ebenfalls sehr gut die fast vollständige Füllung der venösen Malformation aus dieser Nadelposition. Nur kleine, sehr dünnlumige Kommunikationsvenen stellen sich dar. Daher kann aus dieser Nadelposition ein Großteil der VM sklerosiert werden.
In der Durchleuchtungskontrolle (seitliche Ebene) nach Injektion von 8 ml Polidocanol-Schaum (3 %, 1 : 4 in Luft aufgeschäumt) ist die gesamte venöse Malformation mit dem nicht kontrastierenden Schaum ausgefüllt. Das vorher enthaltene Kontrastmittel ist praktisch vollständig durch den Sklerosierungsschaum verdrängt. Damit besteht eine sehr gute Chance, dass die Läsion sehr weitgehend durch den Eingriff verschlossen wird.
Umschriebene venöse Malformationen (VM) können je nach anatomischer Lage und Progressionstendenz lange asymptomatisch bleiben und wenig Probleme bereiten. Eine Minderheit zeigt jedoch schon im Kleinkindesalter eine deutliche Tendenz zur Größenzunahme und wird durch lokale Raumforderung symptomatisch (meist mit schmerzhaften Thrombophlebitiden). Dann ist eine invasive Therapie, sei es durch eine Sklerosierung oder auch eine offene Resektion, bereits im Kleinkindesalter indiziert. Im hier dargestellten Fall konnte das Kind durch insgesamt zwei Sklerosierungstherapien, hier Schaumsklerosierungen mit Polidocanol-Schaum, erfolgreich behandelt werden. Sowohl die lokale Raumforderungswirkung als auch die rezidivierenden Thrombophplebitiden traten nicht mehr auf.
Publiziert: 2018
Alle Abbildungen © Wohlgemuth