Autor/en: Wohlgemuth, Walter A.
Autor/en: Wohlgemuth, Walter A.
Zu diesem Zeitpunkt 8-jährige Patientin mit verlängertem (+ 1,8 cm) linken Bein, das immer deutlich wärmer ist als das rechte Bein. Am Unterschenkel, Sprunggelenk und Fuß links permanent geringes Ödem, hier als Phlebödem durch den erhöhten Venendruck bei ausgedehnten arteriovenösen Fisteln der gesamten linken unteren Extremität. Purpura Jaune d‘ocre als Einlagerungen von Erythrozyten in der Haut durch Auspressen der roten Blutkörperchen bei chronisch venöser Hypertonie.
Das deutliche Phlebödem des linken Beins mit Schwellung im distalen Bereich bei chronisch venöser Hypertonie durch die multiplen arteriovenösen Fisteln ist im Seitenvergleich gut zu sehen.
Das Bild im 12. Lebensjahr zeigt einen Progress sowohl der Hauterscheinungen als auch des Ödems. Durch die begleitende progrediente Hyperplasie der linken unteren Extremität erscheint diese auch hinsichtlich des Weichgewebes deutlich größer als die rechte Seite.
Zusammengesetzte, T1-gewichtete koronare MRT vom Becken bis zu den Füßen. Gut sichtbar hier nicht nur die Beinlängendifferenz (ossäre Hyperplasie), sondern auch die links deutlich größere Muskulatur und das vergrößerte Fettgewebe. Die Hyperplasie der Extremität betrifft beim Parkes-Weber-Syndrom alle Gewebe.
Koronare, T2-gewichtete, fettunterdrückte MRT der Unterschenkel beidseits. Auf der betroffenen linken Seite ausgeprägtes subkutanes Ödem durch den chronischen Venenhochdruck.
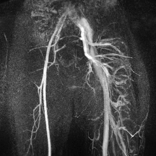
MIP-Rekonstruktion einer kontrastmittelunterstützen, dynamischen MR-Angiographie des Beckens und der Oberschenkel. Während auf der normalen rechten Seite hier noch eine arterielle Phase vorliegt, sind die Arterien und Venen der linken Seite massiv dilatiert und durch die multiplen arteriovenösen Fisteln des Parkes-Weber-Syndroms bereits die abführenden Venen kontrastiert.
In der digitalen Subtraktionsangiographie, der Katheter liegt in der linken Arteria glutea superior, finden sich multiple, kaum identifizierbare kleine arteriovenöse Fisteln wie sie für die diffusen arteriovenösen Malformationen beim Parkes-Weber-Syndrom typisch sind.
Superselektive digitale Subtraktionsangiographie über einen Mikrokatheter in der Arteria glutea superior in einem distalen Ast. Der Nidus der feinfistulösen arteriovenösen Malformation zeigt so feine Shunts, dass diese anatomisch in der Angiographie kaum aufgelöst werden können.
Während der Embolisation über den Mikrokatheter (nicht abgebildet) in Roadmap-Technik wird das Embolisat (Ethylen-Vinyl-Alkohol-Kopolymer) in den Nidus bis in den venösen Abstrom der AVM vorgedrückt um auch die kleinesten Fisteln zu verschließen („plug & push“-Technik).
Schrittweise weitere Embolisation der hauptsächlichen Areale der arteriovenösen Malformation, hier am Knie. Der Ausguss (sogenannter Cast) durch das röntgendichte Embolisat (Ethylen-Vinyl-Alkohol-Kopolymer) zeigt den Verschluss bis in kleinste Gefäße.
In der DSA vor Embolisation (linkes Bild) finden sich kniegelenksnah multiple feine AVMs. Im Nativröntgenbild nach Embolisation ist das röntgendichte Embolisat zu sehen (mittleres Bild), das die arteriovenösen Fisteln ganz ausfüllt. In der DSA nach Embolisation (rechtes Bild) ist der gesamte Nidus der AVM verschlossen, keine sichtbaren arteriovenösen Fisteln mehr.
Foto jetzt im 13. Lebensjahr. Das Ödem ist nach den Embolisationen etwas geringer ausgeprägt, da der Venendruck geringer ist. Dennoch hat die Purpura jaune d‘ocre zugenommen. Typisch auch deren farblicher Verlauf, von proximal blasser und rötlicher nach distal dunkler und farbintensiver aufgrund des distal höheren hydrostatischen Druckes, der zu mehr Auspressen von Erythrozyten aus dem Venensystem führt.
Dieser Verlauf eines Kindes mit Parkes-Weber-Syndrom zeigt einige typische Charakteristika des Krankheitsbildes. Es betrifft diffus eine ganze Extremität und zeigt multiple, sehr feinfistulöse arteriovenöse Fisteln im Sinne einer ausgedehnten arteriovenösen Malformation (AVM). Begleitend ist die betroffene Extremität nicht nur aufgrund eines Ödems durch den erhöhten Venendruck vergrößert, sondern es liegt begleitend auch eine echte Hyperplasie aller Gewebe der betroffenen Extremität vor. Eine Indikation zur ausgedehnten Embolisation liegt dann vor, wenn der Venendruck zu groß wird und deutliche Beschwerden oder deutliche Hauterscheinungen auftreten. Zudem wird bei Kindern häufig aufgrund einer progredienten Beinlängendifferenz eine temporäre Epiphyseodese notwendig. Vor Einbringen der Klammern beziehungsweise „eight-plates“ zur vorübergehenden Wachstumshemmung, müssen die kniegelenksnahen Anteile der AVM verschlossen werden, wie bei dieser Patientin, um das komplikationslose Einbringen und Entfernen des Osteosynthesematerials überhaupt möglich zu machen.
Trotz erfolgreicher Embolisation und Epiphysedese wird auch dieses Mädchen permanent Kompressionsware am betroffenen Bein tragen müssen, da aufgrund der Ausdehnung nie die gesamte AVM zu verschließen ist.
Publiziert: 2020
Alle Abbildungen © Wohlgemuth