Autor/en: Wohlgemuth, Walter A.
Autor/en: Wohlgemuth, Walter A.
Foto des damals einjährigen Mädchens mit Klippel-Trénaunay-Syndrom in Form einer kombinierten kapillär-venolymphatischen Malformation (CVLM) mit begleitender Hyperplasie des betroffenen rechten Beins und Gesäßes. Typisch die große, eher flächige, lateral am Oberschenkel und Knie gelegene kapilläre Malformation.
Das Foto des damals einjährigen Mädchens mit Klippel-Trenaunay Syndrom von dorsal zeigt gut die Vergrößerung des rechten Beins und Gesäßes im Seitenvergleich. Die Hyperplasie betrifft also den gesamten rechten unteren Körperquadranten. Teile der Volumenvermehrung sind auch auf ein Lymphödem des rechten Beins zurückzuführen.
Das Lymphödem betrifft zu diesem Zeitpunkt noch stärker den rechten Unterschenkel und die rechte Ferse, was gut im Seitenvergleich sichtbar wird. Der Vorfuß und die Zehen rechts sind noch kaum betroffen. Es handelt sich mehr um ein für das KTS typisches umschriebenes Lymphödem als um ein klassisches Stauungsödem, bei dem die Extremität von distal nach proximal aufstaut.
Immer wieder kommt es zu Entzündungen der lymphatischen Malformationsanteile mit rezidivierenden Erysipelen. In diesem Zusammenhang dann auch immer wieder Zunahme der blutig tingierten Lymphorrhoe aus den Petechien auf der großen kapillären Malformation lateral am Knie und Oberschenkel (hier abgedeckt mit Kompressenauflagen).
In der koronaren, T2-gewichteten, fettunterdrückten MRT des Beckens und der Oberschenkel zeigt sich die große Ausdehnung der Malformation. Mehrere Abschnitte mit mikro- und makrozystischen lymphatischen Malformationsanteilen. Dazu eine ausgedehnte venöse Malformation mit großer Marginalvene lateral am Oberschenkel rechts.
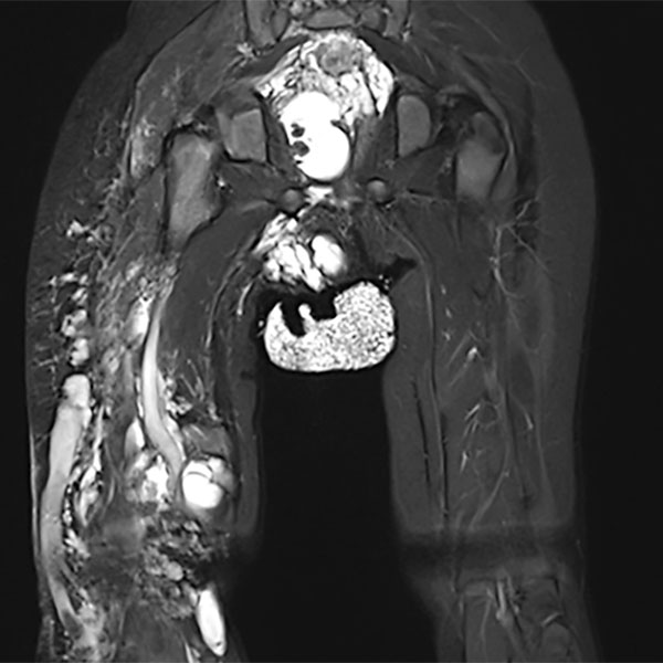
In der korrespondierenden axialen, T2-gewichteten, fettunterdrückten MRT des Beckens auf Höhe des Gesäßes zeigt sich die massive Ausdehnung vor allem auch der lymphatischen Malformation rechts gluteal. Zusätzlich abgebildet eine embryonal persistierende Vena sciatica im Sinne einer venösen Malformation.
Intraoperatives Foto während der Sklerosierungstherapie. Durch mehrere Nadeln wird die lymphatische Malformation anpunktiert, die unter der kapillären Malformation liegt und für das häufige Austreten von blutig tingierter Lymphflüssigkeit aus den kleinen petechialen beetartigen Vesikeln verantwortlich ist. Nach Darstellung mittels Kontrastmittelinjektion zur Sicherung der korrekten Lage in der lymphatischen Malformation wird über die Nadeln Sklerosierungsmittel verabreicht.
Lymphographie mit Kontrastmittelinjektion direkt in die lymphatische Malformation subkutan, unter der an der Haut sichtbaren, kapillären Malformation lateral am Oberschenkel. Die gesamte LM wird von dieser Nadelposition aus kontrastiert. Damit ideale Position um diesen Anteil zu sklerosieren.
Durch erneute Punktion und Lymphographie mit Kontrastmittelinjektion werden weitere Anteile der LM kontrastiert, die anschließend sklerosiert werden können.
Durch Injektion von Sklerosierungsmittel (hier Picibanil = OK-432), das nicht kontrastgebend ist, wird das vorher injizierte KM verdrängt. So wird nacheinander die gesamte LM sklerosiert. Dies führt zu einer Abdichtung der Haut und vermindert künftige Lymphorrhoe. Die Marginalvene wird noch durch Radiofrequenzablation verschlossen (nicht abgebildet) zur Vermeidung von Thrombembolien.
Im weiteren Verlauf entwickelt sich der Krankheitsverlauf des Mädchens sehr gut. Auf dem Foto ist sie 4 ¾ Jahre alt. Sie ist voll mobil und hat nur selten bei großer körperlicher Belastung oder längerem Sitzen Beschwerden. Das Lymphödem ist nach wie vor milde ausgeprägt. Das konsequente Tragen der Kompressionsware ist für den guten Verlauf sicher mit verantwortlich.
Foto im Alter von 4 ¾ Jahren. Man sieht gut am Unterschenkel die länglichen Abdrücke der Kompressionsware, die kurz vor dem Foto ausgezogen wurde. Das Lymphödem nur noch milde ausgeprägt. Zu diesem Zeitpunkte hatte das Mädchen einige kleinere Thrombophlebitiden, sichtbar als gelbliche umschriebene Flecken an der Haut, ähnlich einem in Rückbildung befindlichen Hämatom.
Das Klippel-Trénaunay-Syndrom (KTS) wird heute als kombinierte kapillär-venolymphatische Malformation mit Extremitätenhyperplasie bezeichnet. Unter dem Begriff KTS wird jedoch häufig sehr unscharf eine Vielzahl von ganz unterschiedlichen Gefäßmalformationen bezeichnet. Auch beim Vorliegen des Vollbildes eines KTS ist durch frühzeitige, konsequente Therapie (vor allem der lymphatischen Malformation und der großen dysplastischen Venen), meistens mit einer Kombination aus konservativer Therapie (Kompression, Bewegungstherapie) und invasiven Maßnahmen zur Vermeidung einer Lymphorrhoe oder thrombembolischer Ereignisse, eine sehr gute Lebensqualität erreicht.
Auch bei diesem Mädchen ist im Langzeitverlauf eine gute Prognose zu erwarten.
Publiziert: 2020
Alle Abbildungen © Wohlgemuth