Autor/en: Wohlgemuth, Walter A.
Autor/en: Wohlgemuth, Walter A.
8-jähriger Junge mit seit der Geburt vorhandener, nicht dyskolorierter Schwellung am rechten Handrücken. Diese tastet sich kissenartig weich und ist selten schmerzhaft. Schmerzen eher bei Berührung als bei Belastung (der Junge ist Rechtshändig).
Ähnliche weich tastbare, manchmal schmerzhafte Schwellung volarseitig am distalen rechten Unterarm.
Auch hier keine bläuliche Dyskoloration, wie man sie oft bei venösen Malformationen sieht.
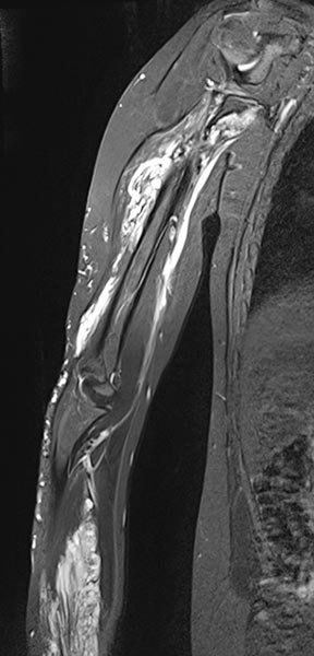
Die koronare, T2-gewichtete, fettunterdrückte Sequenz einer MRT mit Darstellung des rechten Ober- und Unterarms zeigt eine doch deutlich größere Ausdehnung der Malformation als rein klinisch vermutet.
Die Ausdehnung ist vorwiegend subfaszial in der Tiefe der Muskulatur des Ober- und Unterarms. Die Signalgebung ist stark hyperintens, somit sicher eine Slow-flow-Malformation (venös oder lymphatisch).
Die venöse Malformation zeigt in der T2-gewichteten, fettunterdrückten MRT eine tiefe Ausdehnung im Bereich der tiefen Flexorensehnen der Hand und des Unterarmes.
Am distalen Unterarm rechts im Bereich der hauptsächlichen Ausdehnung der Schwellung zeigt sich das Ausmaß der venösen Malformation vorwiegend im Bereich der Flexoren. Stark hyperintenses MRT-Signal in der T2w-Fettsättigung. Die gesamte beugeseitige Muskulatur ist durchsetzt.
Dynamisch, kontrastmittelunterstützte MR-Angiographie der Hand, 30 s nach KM-Injektion intravenös.
Normale Handarterien, keine Fast-flow-Situation, keine erweiterten Arterien oder arteriovenöse Shunts.
Dynamisch, kontrastmittelunterstützte MR-Angiographie der Hand, 35 s nach KM-Injektion intravenös.
Bereits in dieser früharteriellen Phase erste Kontrastierung von Teilen der Malformation über kleine arteriovenöse Fisteln (AVF) vor allem an Daumen, Zeigefinger und Ringfinger.
Dynamisch, kontrastmittelunterstützte MR-Angiographie der Hand, 67 s nach KM-Injektion intravenös.
In dieser venösen Phase dann langsames geringes KM-Pooling innerhalb der venösen Malformation.
T1-gewichtete, fettgesättigte KM-unterstützte MRT-Sequenz des Unterarmes.
Man sieht klar das komplette Enhancement der Malformation in der Muskulatur. Damit handelt es sich um eine venöse Malformation.
Einige etwas vergrößerte, dysplastische Venen finden sich auch lateral am proximalen Unteram epifaszial im subkutanen Fettgewebe.
Axiale T1-gewichtete, fettunterdrückte KM-unterstützte Sequenz mittlerer Unterarm.
Die venöse Malformation reichert Kontrastmittel an innerhalb der durchsetzten Muskulatur.
Die Gefäßlumina der venösen Malformation sind jedoch relativ klein, es finden sich keine größeren tubulären Anteile.
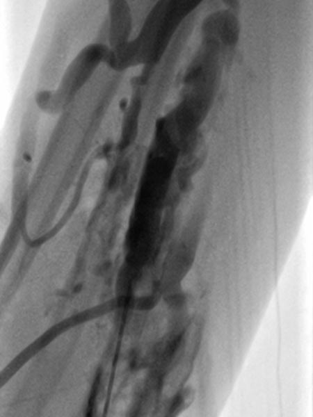
Entsprechend der relativ kleinen einzelnen Gefäßdurchmesser der venösen Malformation ist diese auch nur schwer direkt zu punktieren. Die Varikographie in Direktpunktionstechnik zeigt multiple, eher längliche, zum Teil netzartige dysplastische kleinlumige Venenkanäle.
Nach Sicherung der Nadellage innerhalb der venösen Malformation und Ausschluss eines Abstroms über eine größere Kommunikationsvenen, wird Polidocanolschaum (3% Äthoxysklerol 1 zu 4 in Luft aufgeschäumt) injiziert. Dieser Schaum ist nicht röntgendicht sondern verdrängt das vorher injizierte Kontrastmittel aus der Läsion.
Auch weiter proximal am Unterarm wird schrittweise die gesamte venöse Malformation in der Tiefe der Flexorenmuskulatur ausgeschäumt.
Der Eingriff wird am Unterarm und am Handrücken noch insgesamt 2 mal wiederholt. Am Unterarm gutes klinisches Ergebnis ohne persistierende Schmerzen. Am Handrücken bleiben jedoch klinisch Schmerzen weiter bestehen, auch die Schwellung wird hier (im Gegensatz zum Unterarm) nicht kleiner. Daher wird hier eine lokale Teilresektion der venösen Malformation angeschlossen mit gutem klinischem Ergebnis.
Ausgedehnte venöse Malformationen der Extremität, die die feinen Strukturen der Muskulatur und Sehnenfächer sowie der Gefäß-Nervenscheiden vollständig durchdringen, sind kaum kurativ zu behandeln. Eine alleinige Sklerosierungstherapie ist meist ebenso wenig auf Dauer erfolgreich wie der Versuch einer möglichst kompletten Resektion, die technisch kaum durchführbar ist. Daher ist die Kombinationstherapie in mehreren klar vorher geplanten Etappen hier die Therapie der Wahl. Ziel ist hierbei nicht die vollständige Entfernung der venösen Malformation, sondern die Beseitigung der klinischen Symptomatik.
Publiziert: 2020
Alle Abbildungen © Wohlgemuth