Autor/en: Wohlgemuth, Walter A.
Autor/en: Wohlgemuth, Walter A.
12-jährige Patientin mit umschriebener, relativ weich tastbarer Schwellung am lateralen distalen Oberschenkel. An der Haut an 2 Stellen dysplastische Venen sichtbar. Im Bereich der Schwellung immer wieder Verhärtung und umschriebene Schmerzen durch Thrombophlebitiden in der venösen Malformation (VM).
Die koronare, fettunterdrückte T2-Wichtung der Oberschenkel zeigt rechts die intramuskulär gelegene venöse Malformation.
Die axiale T2-gewichtete MRT, fettunterdrückt, zeigt die nahe Lagebeziehung zum Periost des Femurs. Diese Lage ist besonders schmerzhaft durch entzündliche Reizung des Periosts.
Die T2-gewichtete MRT ohne Fettunterdrückung in axialer Schnittführung offenbart den entzündlichen, fibrotischen Umbau der Läsion durch multiple Entzündungen. Der rechte M. vastus lateralis des M. quadrizeps femoris ist komplett durchsetzt.
Die dynamische MR-Angiographie 62 s nach Injektion des Kontrastmittels zeigt ein langsames pooling des Kontrastmittels in der Läsion ohne frühen venösen Rückstrom (Slow-flow-Malformation). Die Läsion steht in Verbindung mit dem tiefen Leitvenensystem (Kommunikationsvenen).
Die VM nimmt komplett Kontrastmittel auf (MRT in T1-Wichtung, fettgesättigt). Damit entfällt die differentialdiagnostische Erwägung einer lymphatischen Malformation.
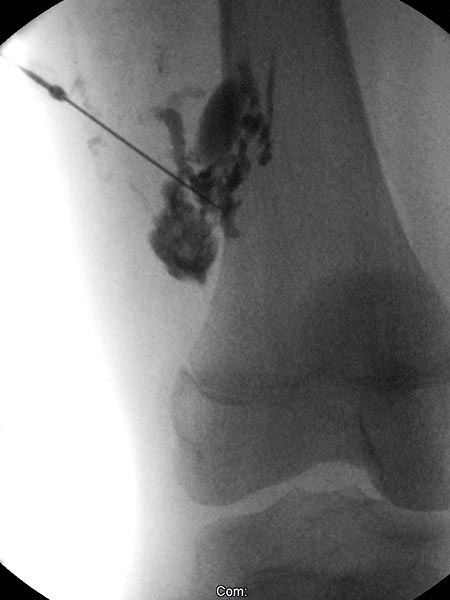
Digitale Subtraktionsangiographie nach Direktpunktion der venösen Malformation während der Sklerosierungsbehandlung. Neben der VM selbst zeigen sich direkte Kommunikationsvenen mit dem tiefen Leitvenensystem. Diese werden mittels Direktpunktion verschlossen mit viskösem Alkohol-Gel.
Röntgendurchleuchtung nach Direktpunktion der venösen Malformation während der Sklerosierungsbehandlung. Durch den Verschluss der Kommunikationsvenen mit dem tiefen Leitvenensystem ist die VM jetzt alleingestellt und kann sklerosiert werden. Nach Anspritzen kein Abstrom des Kontrastmittels mehr in die Leitvenen.
Ultraschallbild (automatisch zusammengesetzte 2D-Darstellung) vor Sklerotherapie. Die hier dargestellten, initial noch echoärmeren Hohlräume der venösen Malformation werden durch die Inflammation, die durch die Sklerosierungstherapie induziert wird, verschlossen werden.
Ultraschallbild (automatisch zusammengesetzte 2D-Darstellung) nach Sklerotherapie. Die echoärmeren Hohlräume der venösen Malformation sind durch die Inflammation, die durch die Sklerosierungstherapie induziert wird, verschlossen. Das Bild erscheint jetzt im Ultraschall homogener und echoreicher. Es können sich somit keine schmerzhaften Thrombophlebitiden mehr abspielen.
Intramuskulär gelegene venöse Malformationen (VM) liegen oft im Bereich des distalen Oberschenkels, nahe des Periosts des Femurs. Die Symptomatik der rezidivierenden Schmerzen mit Verhärtung führt zur Bildgebung, die MRT sichert die Diagnose. Während der Sklerosierungstherapie ist es wichtig entsprechende Kommunikationsvenen der venösen Malformation mit dem tiefen Leitvenensystem auszuschließen, da hier spontan oder durch die Therapie induzierte thrombembolische Vorgänge ablaufen können. Durch die Sklerosierung verschließen sich die anfangs offenen Kanäle der VM, diese wird echoreicher. Die Patientin ist heute 2 Jahre und 4 Monate nach der Therapie asymptomatisch.
Publiziert: 2018
Alle Abbildungen © Wohlgemuth