Autor/en: Wohlgemuth, Walter A.
Autor/en: Wohlgemuth, Walter A.
Bei dieser Patientin mit einem Proteus-Syndrom hat sich früh an beiden Fußsohlen der klassische, für das Krankheitsbild pathognomonische sogenannte Cerebriforme Mixed Connective Tissue Nevus (CMCTN – „hirnförmiger gemischter Bindegewebsnävus“ am Fuß auch „Mokassin-Sohle“ genannt) entwickelt.
Die Läsion tastet sich relativ hart und ist praktisch schmerzlos, sie wächst sehr langsam. Die Oberfläche erinnert ein bisschen an die Oberfläche des Großhirns, daher auch der Name. Auf dem Foto ist die Patientin gerade 15 Jahre alt.
Ziemlich genau ein Jahr später (knapp 16-jährig) hat sich der Bindegewebsnävus gerade an der medialen Fußkante ein wenig vergrößert. Hier ist es zu einem unangenehmen Druckgefühl gekommen.
Es besteht der Wunsch nach einer operativen Resektion.
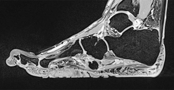
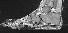
Präoperative Abklärung des Bindegewebsnävus in der MRT, hier sagittale T2-gewichtete, fettunterdrückte Sequenz des rechten Fußes. Der Bindegewebsnävus ist aufgrund des hohen fibrotischen Anteils homogen hypointens (schwarz).
Auch in der nativen, T1-gewichteten MRT sagittal ohne Kontrastmittel (gleiche Schnittebene) ist der Bindegewebsnävus homogen hypointens (schwarz).
In der sagittalen , T1-gewichteten, fettunterdrückten MRT (wieder gleiche Schichtebene) findet sich ein geringes, relativ homogenes Enhancement des Nävus.
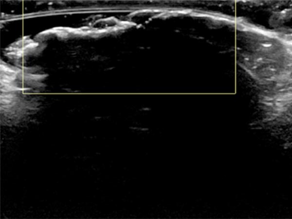
In der Sonographie (B-Bild) findet sich durch den hohen Bindegewebsanteil an der Oberfläche des Nävus direkt eine totale Schallreflexion mit einem ausgeprägten Schallschatten. Die Läsion selbst ist nicht darstellbar.
In der farbkodierten Duplexsonographie (FKDS) zeigt sich ebenfalls die totale Schallreflexion. Auch bei sehr empfindlicher Einstellung für Blutfluss (6 cm/s) keinerlei Perfusion feststellbar.
In der Ultraschall-Elastographie kodiert die Läsion entsprechend der hohen Gewebehärte weitgehend hart.
Mit knapp 17 Jahren nimmt der mediale Anteil des Bindegewebsnävus langsam weiter zu. Im 18. Lebensjahr wird schließlich der mediale Anteil des Cerebriformen Mixed Connective Tissue Nevus operativ teilreseziert (nicht abgebildet).
Im 20. Lebensjahr, ca. eineinhalb Jahre nach OP, kommt es bereits zu einem deutlichen Rezidivwachstum des Bindegewebsnävus. Perlartige, zum Teil auch etwas größere Verhärtungen bilden sich auf dem Narbenbett der vormaligen Teilresektion.
Im 21. Lebensjahr zeigt sich ein weiteres, gering zunehmendes Rezidivwachstum des Bindegewebsnävus. Funktionell ist das Ergebnis zu diesem Zeitpunkt jedoch nicht schlecht, da die lokalen Druckbeschwerden geringer sind. Es kommt jedoch, wie dies bei dieser Form des Bindegewebsnävus mit größerer Ausdehnung häufig ist, zu einer bakteriellen Besiedelung der Spalten zwischen den einzelnen Nävusanteilen. Hier können sich unangenehme Entzündungen abspielen.
Im 22. Lebensjahr ist das Rezidiv fast wieder auf dem Niveau des Wachstums wie vorher. Funktionell nach wie vor gutes Ergebnis. In den Spalten zwischen den einzelnen hervorgehobenen Anteilen kommt es zu rezidivierenden bakteriellen Entzündungen.
Der im Deutschen „Bindegewebs-Nävus“ oder am Fuß „Mokassin-Sohle“ genannte Cerebriforme Mixed Connective Tissue Nevus (CMCTN, „hirnartiger gemischter Bindegewebs Nävus“) ist eine pathognomonische Hauterscheinung an den Fußsohlen oder in der Hohlhand, der praktisch nur bei Proteus-Syndrom vorkommt. Die Läsion ist gekennzeichnet durch sehr langsam progrediente bindegewebige Vorwucherungen, deren Oberfläche wie eine Gehirnoberfläche aussieht (daher „cerebriform“). Das Gewebe besteht weitgehend aus Bindegewebe und ist relativ hart. Eine operative Resektion ist schwierig, da insbesondere in den jungen Wachstumsjahren bei Proteus-Patienten durch eine zu frühe Resektion es sogar zu einem überschießend progredient wachsenden Rezidiv kommen kann. Insgesamt ist hier große Zurückhaltung hinsichtlich operativer Maßnahmen sinnvoll.
Wichtigste Behandlungsmaßnahme des CMCTN ist es, die Furchen zwischen den einzelnen Wucherungen sehr sauber zu halten und regelmäßig zu desinfizieren, da auch bei strenger Sauberkeit hier die Gefahr von bakteriellen Infekten hoch ist. Diese können dann schmerzhaft sein, außerdem ist die bakterielle Kontamination zu riechen.
Publiziert: 2020
Alle Abbildungen © Wohlgemuth