Autor/en: Meyer, Lutz
Autor/en: Meyer, Lutz
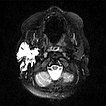
Gemischt makro- und mikrozystische LM im Bereich der Parotisloge rechts um das Ohr herum ziehend in einer T2-gewichteten, fettgesättigten transversalen MRT-Schicht.
OP im Alter von 13 Monaten mit Neuromonitoring des Nervus facialis. Die lange Linie zeigt die spätere Hautinzision, die kurzen Linien zeigen die wichtigsten Facialisäste. Mit Punkten markiert die Schwellung um das rechte Ohr herum.
Intraoperatives Bild. Die LM ist weitgehend entfernt, die einzelnen Facialisäste sind freipräpariert und mit Gummizügeln markiert.
Postoperatives Bild 3 Monate nach der Operation. Es ist keine Schwellung mehr vorhanden.
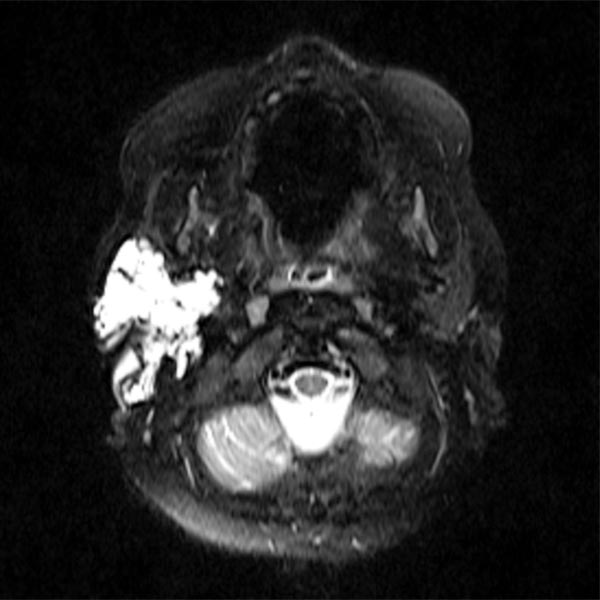
Transversales, T2-gewichtetes, fettgesättigtes MRT 13 Monate nach der OP. Nur wenige Reste der LM sind noch sichtbar.
In ausgewählten Fällen ist eine primäre chirurgische Resektion einer lymphatischen Malformation (LM) im Gesichts- und Halsbereich möglich. In diesem Fall sind nur wenige Reste der LM verblieben, sodass wahrscheinlich keine weitere Behandlung mehr nötig ist. Im Falle neuer Schwellungen wäre eine Sklerosierungsbehandlung erforderlich.
Publiziert: 2018
Alle Abbildungen © Meyer