Autor/en: Wohlgemuth, Walter A.
Autor/en: Wohlgemuth, Walter A.
6 Monate altes Mädchen mit einer relativ harten, überwärmten Raumforderung am medialen Lidwinkel des linken Oberlids. Die Raumforderung war bei Geburt nicht vorhanden, nahm Monat für Monat zu und führt durch die Abdeckung der Pupille jetzt zu Sehproblemen (Bulbusdeviation und drohende Deprivationsamblyopie). Durch die vorwiegend subkutane Lage ist der Tumor nicht himbeerrot, sondern eher etwas bläulich koloriert.
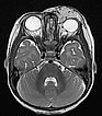
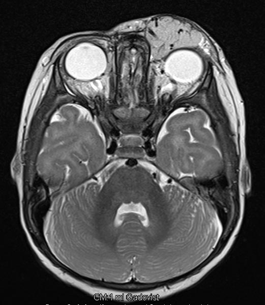
Die koronare, native T1-gewichtete MRT zeigt die Raumforderung homogen hypointens. Zentral einige wenige kleine flow-voids durch stark perfundierte arterielle Gefäße.
T1-gewichtete, koronare MRT nach Kontrastmittelgabe zeigt einen homogen stark Kontrastmittel aufnehmenden, soliden, scharf angegrenzten Tumor am linken Auge. Dies ist klar hinweisend auf ein infantiles Hämangiom als vaskulärer Tumor.
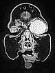
Die T1-gewichtete, koronare MRT nach Kontrastmittelgabe etwas weiter dorsal zeigt die Ausdehnung der KM-aufnehmenden soliden Raumforderung bis weit in die mediale Orbita des linken Auges mit Verlagerung des Bulbus nach kaudal und lateral.
T1-gewichtete, sagittale MRT nach Kontrastmittelgabe. Der Bulbus des linken Auges wird durch die Ausdehnung der Raumforderung intraorbital nach kaudal und dorsal verlagert und der Bulbus eingedrückt.
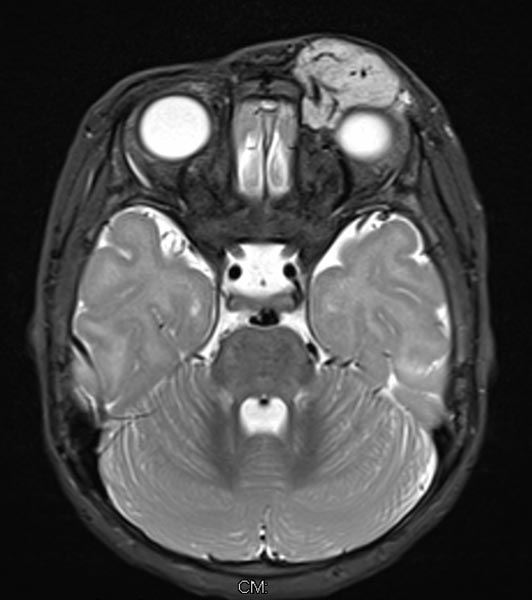
T2-gewichtete axiale MRT mit Fettsättigung. Die Raumforderung medial am linken Auge ist relativ homogen hyperintens und scharf abgrenzbar zum umgebenden Rand. Als Zeichen der starken arteriellen Durchblutung sieht man einige schwarze, signallose arterielle Gefäße in der Läsion („flow voids“). Auch dies ist typisch für ein infantiles Hämangiom.
T2-gewichtete axiale MRT ohne Fettsättigung. Die Raumforderung medial am linken Auge ist auch hier relativ homogen hyperintens und zeigt zentrale flow-voids. Aufgrund der fehlenden Fettsättigung ist die Raumforderung aber nicht so gut vom umgebenden Fettgewebe abgrenzbar.
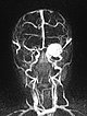
Dynamische, kontrastmittelunterstützte MR-Angiographie des Schädels und der hirnversorgenden Gefäße. In der ganz früharteriellen Phase (A) noch kein Enhancement der Läsion am linken Auge.
Dynamische, kontrastmittelunterstützte MR-Angiographie des Schädels und der hirnversorgenden Gefäße. In der arteriellen Phase 5 s später (B) bereits starkes Enhancement des Tumors am linken Auge.
Dynamische, kontrastmittelunterstützte MR-Angiographie des Schädels und der hirnversorgenden Gefäße. In der venösen Phase (C) weiterhin bestehendes starkes, homogenes Enhancement, venöse Drainage über die Vena facialis und Vena jugularis externa links.
Aufgrund der starken Perfusion der Raumforderung sowie der Ausdehnung in die Orbita wird präoperativ eine Embolisation mit Ethylen-Vinyl-Alkohol-Kopolymer in Direktpunktionstechnik durchgeführt. DSA nach Direktpunktion mit venöser Drainage.
Das Röntgendurchleuchtungsbild zeigt das Embolisat innerhalb der Gefäße schwarz (röntgendicht). Es gelingt superselektiv die Perfusion im Hämangiom stark zu vermindern.
Intraoperativer Situs (Prof. Jaegle, Uniklinikum Regensburg). Die dunkelrote Raumforderung konnte relativ blutarm aus der Orbita und dem Oberlid präpariert werden, unter Erhalt des Musculus levator palpebrae. Die schwarzen Punkte entsprechen dem Embolisat.
Das Resektionspräparat des Hämangioms ist homogen rot durch die starke Vaskularisierung. Zentral enthalten sind multiple schwarze, wurmartige Ausgüsse der Gefäße durch das Embolisat Ethylen-Vinyl-Alkohol-Kopolymer.
Unmittelbar postoperativ: Komplette Entfernung der Raumforderung. Unauffälliger postoperativer Verlauf, das infantile Hämangiom konnte vollständig und rezidivfrei entfernt werden.
Bei der ambulanten Kontrolluntersuchung 4 Jahre und 1 Monat nach den Eingriffen kein Rezidiv. Die dreidimensionale Sehfähigkeit ist erhalten, es hat sich am linken Auge keine Amblyopie entwickelt.
Bei der ambulanten Kontrolluntersuchung 4 Jahre und 1 Monat nach den Eingriffen kein Rezidiv. Das Oberlid links ist beweglich und voll schlussfähig.
Infantile Hämangiome am Auge und in der Orbita stellen auch heute in den Zeiten der erfolgreichen medikamentösen Therapie (Propranolol) eine Herausforderung dar. Durch das schnelle Wachstum kann es zum Druck auf das Auge kommen, das Lid kann eventuell nicht mehr geöffnet werden. Die Entwicklung des wachsenden Auges und die Sehfähigkeit bzw. kortikale Sehverarbeitung sind bedroht. Durch vorherige Ausschaltung oder Verminderung der Durchblutung mittels Embolisation und mikrochirurgische Resektion (Kombinationstherapie) können auch in dieser Situation oft gute Ergebnisse erzielt werden.
Publiziert: 2018
Alle Abbildungen © Wohlgemuth