Autor/en: Wohlgemuth, Walter A.
Autor/en: Wohlgemuth, Walter A.
Die Patientin leidet unter einem ständigen, blutig tingierten Lymphausfluss in der linken Axilla. Aus den kleinen kutanen Lymphbläschen, die zum Teil auch exophytisch als Lymphangioma circumscriptum hervortreten, tritt pro Tag ca. 500 ml Flüssigkeit (Lymphe mit Blut) aus.
Durchleuchtung während Elektrosklerotherapie nach Injektion von 0,75 mg Bleomycin mit 2,5 ml Kontrastmittel in die lymphatische Malformation. Applikation der Stromimpulse mit der Fingerelektrode.
Foto der klinischen Kontrolle 3,5 Monate nach der Bleomycin-Elektrosklerotherpie. Der Befund ist viel kleiner geworden. Es findet keinerlei Flüssigkeitssekretion mehr statt, die Axilla ist trocken.
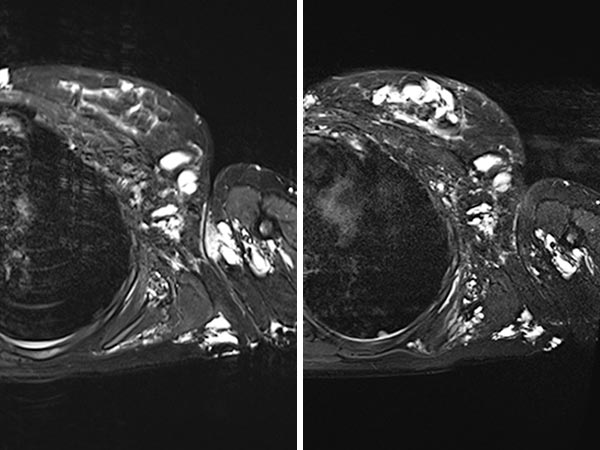
MRT (T2-Wichtung mit Fettunterdrückung; axial) vor (links) und nach (rechts) der Elektrosklerotherapie. Nur die behandelten Anteile der lymphatischen Malformation (LM) sind stark geschrumpft, die übrigen Anteile unverändert.
Gleiche MRT (T2-Wichtung mit Fettunterdrückung; jetzt koronare Rekonstruktion) vor (links) und nach (rechts) der Elektrosklerotherapie. Auch hier sieht man, dass die behandelten Anteile der lymphatischen Malformation praktisch verschlossen sind, die übrigen Anteile aber unverändert.
Die Bleomycin-Elektrosklerotherapie ist ein ganz neues Verfahren, das seine Wertigkeit erst noch in klinischen Studien beweisen muss. Dies gilt sowohl für die Wirksamkeit und Sicherheit als auch für das optimale Protokoll aus Bleomycin-Dosis und Stromimpulsen. Die ersten klinischen Erfahrungen waren jedoch positiv, sodass in Einzelfällen das Verfahren auch außerhalb von Studien an spezialisierten Zentren bereits angewandt wurde. Dies vor allem bei therapierefraktären Fällen, die mit konventioneller Sklerosierung nicht nachhaltig gebessert werden konnten.
Gerade die Behandlung der chronischen Lymphorrhoe mit kleinen Lymphvesikeln an der Haut, zum Teil auch gemischt blutig und lymphatisch, stellt eine große Herausforderung für Patienten und Arzt dar. Hier scheint die Bleomycin-Elektrosklerotherapie eine wichtige zusätzliche Methode zu sein, die auch in besonders schweren Fällen Erfolge bringen kann.
Publiziert: 2020
Alle Abbildungen © Wohlgemuth