Autor/en: Wohlgemuth, Walter A.
Autor/en: Wohlgemuth, Walter A.
28-jähriger Patient mit einer im Laufe des letzten Jahres zunehmenden, umschriebenen Schwellung rechts an der Stirn, die als Rötung schon lange vorbestand. Die direkt umgebende Haut ist abgeblasst durch ein Steal-Phänomen. Bei Palpation ist die Raumforderung klar überwärmt, bei stärkerem Druck ist eine Pulsation spürbar. Damit ist eine Fast-Flow-Malformation wahrscheinlich. Hier abgebildet die direkte Aufsicht.
Hier abgebildet eine seitliche Ansicht, die die Schwellung dokumentiert.
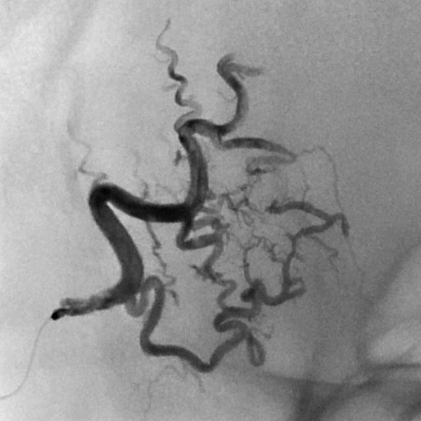
Die digitale Subtraktionsangiographie (DSA) über rechte die Arteria carotis externa und die Arteria temporalis superficialis zeigt eine feinfistulöse AVM mit deutlich dilatierten Feederarterien an der rechten Stirn und sofortigem venösen Abstrom.
Der Mikrokatheter wurde bis direkt zum Nidus vorgebracht. Nach Darstellung des Nidus sofortiger, direkter venöser Abstrom (DSA, venöse Phase) aus der Läsion über dilatierte Venen. Dies sichert die Diagnose einer AVM.
Nach superselektiver Sondierung über einen Mikrokatheter schrittweise Auffüllung des gesamten Nidus der AVM mittels Ethylen-Vinyl-Akohol-Kopolymer mit Hilfe der plug-und-push Technik, bei der die Katheterspitze eingeklebt wird und das Embolisat in die Läsion gedrückt wird. Darstellung in der hier folgenden Bilder in Roadmap-Technik, in der bereits injiziertes Embolisat weiß, neu hinzugekommenes Embolisat schwarz dargestellt wird. Beachte die zunehmende, retrograde Füllung der kleinen Feederarterie am unteren Rand der Läsion (Beginn der Injektion).
Beachte die zunehmende, retrograde Füllung der kleinen Feederarterie am unteren Rand der Läsion (während der Injektion).
Beachte die zunehmende, retrograde Füllung der kleinen Feederarterie am unteren Rand der Läsion (nach der Injektion). Die kleine Arterie wurde gegen ihre Stromrichtung aufgefüllt.
DSA-Bild mit Darstellung des gesamten arteriellen Einstroms, des Nidus und des venösen Abstroms der AVM vor der Embolisation. Die Angioanatomie der hier noch unbehandelten AVM ist klar erkennbar.
Das konventionelle Röntgenbild (gleiche Ansicht wie vorheriges Bild) nach Abschluss der vollständigen Embolisation zeigt den Ausguss des gesamten Nidus durch das röntgendichte Embolisat (Cast). Dieser zeichnet genau die Anatomie der AVM nach, die damit verschlossen ist.
Die Abschlussangiographie nach Injektion in die rechte Arteria carotis externa zeigt den kompletten Verschluss des Nidus der arteriovenösen Malformation. Durch die Subtraktionsdarstellung erscheint der Cast hier weiß.
Zur Langzeitsicherung des Erfolges und Vermeidung eines Rezidivs sowie zur Verbesserung des kosmetischen Ergebnisses (persistierende Hautrötung an der Stirn) wird der komplette verschlossene Nidus reseziert. Bis heute ist der Patient rezidivfrei.
Die hier behandelte arteriovenöse Malformation (AVM) an der Stirn ist zwar nicht sehr groß, jedoch in ein Proliferationsstadium eingetreten und zeigte im vorhergehenden Zeitraum eine deutliche Vergrößerung. Dies lässt ohne Behandlung eine schlechte Langzeitprognose erwarten. Zudem besteht an der Stirn eine kosmetische Beeinträchtigung.
Der Therapieansatz liegt hier in einer Kombination aus vollständiger Embolisation und anschließender Resektion des Nidus der AVM.
Die Bilder der initialen Angiographie und des Ausgusses der AVM mit dem Embolisat demonstrieren die Vollständigkeit des Verschlusses.
Hier ist auch im Langzeitverlauf die Rezidivwahrscheinlichkeit sehr gering, dennoch ist eine Nachkontrolle notwendig im Langzeitverlauf.
Publiziert: 2018
Alle Abbildungen © Wohlgemuth