Angiosarkom

Angiosarkome (AS) sind sehr seltene maligne Tumoren (< 1 % aller Sarkome), die sowohl die Funktion als auch die Morphologie von Endothelzellen aufweisen. Sie sind sehr vielgestaltig und variieren von sehr gut differenzierten Angiosarkomen, die initial nur schwer von anderen Gefäßtumoren zu unterscheiden sind, bis hin zu hochmalignen, niedrig differenzierten Angiosarkomen. Im Kindesalter entstehen Angiosarkome nur sehr selten. Wenn sie hier jedoch auftreten, unterscheiden sie sich von den Angiosarkomen im Erwachsenenalter. Zum Beispiel manifestieren sie sich dann eher auch an inneren Organen und sind mit anderen Erkrankungen assoziiert. Typische Lokalisationen für das Angiosarkome sind die Haut (ca. 50 %), die Brust, das Weichgewebe, das Herz oder auch der Knochen.

Angiosarkome werden in verschiedene klinische Gruppen unterteilt:

  • Primär kutanes Angiosarkom (ohne Assoziation zu einem Lymphödem oder einer Strahlenbelastung)
  • Lymphödem-assoziiertes Angiosarkom
  • Post-Radiatio-Angiosarkom
  • Angiosarkom des tiefen Weichgewebes
  • Angiosarkom parenchymatöser Organe (Knochen, Leber, Milz, Herz, Brust)

Hieraus lassen sich bereits einige ätiologische Faktoren ableiten. Das chronische Lymphödem und eine Bestrahlung sind die bekanntesten prädisponierenden Faktoren für ein Angiosarkom. Typischerweise entstehen lymphödem-assoziierte Angiosarkome bei Frauen, die auf Grund eines Mammakarzinoms eine radikale Mastektomie und eine Axilladissektion erhalten haben, in deren Folge sich ein chronisches Lymphödem entwickelt hat. Der genaue Zusammenhang zwischen einem Lymphödem und einem Angiosarkom ist noch nicht abschließend geklärt.

Bestrahlungsassoziierte Angiosarkome entstehen mit einer Latenzzeit von mehreren Jahren (i. d. R. > 10 Jahre) nach einer Bestrahlung im ehemaligen Bestrahlungsfeld.

Primär kutane Angiosarkome

Mit fast der Hälfte aller Angiosarkome stellen die primär kutanen Angiosarkome die größte Gruppe dar. Typischerweise entstehen sie ab der 7. Lebensdekade, dabei sind Männer und Frauen gleich häufig betroffen. Die Hälfte der Angiosarkome entsteht im Kopf-Hals-Bereich, speziell am behaarten Kopf und an der Stirn – eine Assoziation zur Sonneneinstrahlung ist immer wieder diskutiert worden, scheint aber keinen Einfluss auf die Entstehung von Angiosarkomen zu haben. Das klinische Bild ist hier sehr variabel: neben schlecht abgrenzbaren, nur leicht erhabenen Läsionen können erhabene, knotige, gelegentlich auch ulzerierte Raumforderungen auffallen. Auf Grund des vielgestaltigen, oft harmlosen makroskopischen Befundes werden Angiosarkome häufig erst in fortgeschrittenen Stadien diagnostiziert.

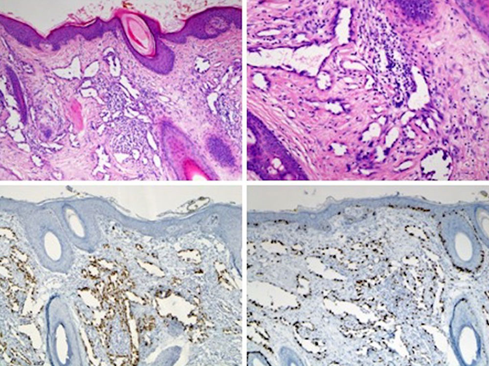
Die meisten Angiosarkome sind mittelgradig differenziert und zeigen Blutgefäßstrukturen mit unregelmäßiger Größe und Form. Auffällig sind vor allem die Endothelzellen, die hier teilweise deutlich vergrößert sind und Atypien aufweisen. Immunhistochemisch sind AS positiv für ERG, CD34, CD31 und Fli1.

Das 5-Jahres-Überleben von Patienten mit primär kutanen AS liegt bei 30 bis 50 %. Dabei ist das Outcome von verschiedenen Faktoren wie z. B. Alter des Patienten, Größe des AS und dem Resektionsstatus abhängig.