Autor/en: Wohlgemuth, Walter A.
Autor/en: Wohlgemuth, Walter A.
13-jährige Patientin mit rezidivierender, schmerzhafter Schwellung – medialer distaler Oberschenkel links. Zustand nach operativer Exploration, die wegen starker Blutung abgebrochen wurde. Es wurde histologisch ein „Hämangiom“ diagnostiziert, diese Diagnose entspricht nicht dem biologischen Verhalten der Läsion. Postoperativ keine Besserung des belastungsabhängigen Schmerzes.
In der axialen T2-gewichteten MRT zeigt sich eine hyperintense, homogene Raumforderung im Bereich der Schwellung, gut vereinbar mit einer venösen Malformation. Auffällig einige kleinere zentrale flow-voids im Sinne von Arterien in der Läsion.
Die axialen T2-gewichtenten, fettgesättigten MRT-Schichten etwas weiter kranial sind wieder typisch für eine venöse Malformation mit starker Hyperintensität der Läsion.
In der koronaren T2-gewichteten, fettunterdrückten MRT wiederum typisches Bild einer stark hyperintensen venösen Malformation mit deutlicher Ausdehnung auch in kranio-kaudaler Richtung.
Die kontrastmittelgestützte MR-Angiographie noch in einer frühen, arteriellen Phase zeigt dann eine frühe, starke arterielle Vaskularisation der venösen Malformation, als Hinweis auf deutliche arteriovenöse Fisteln in der venösen Malformation.
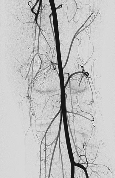
Die digitale Subtraktionsangiographie (DSA) in der früharteriellen Phase zeigt eine, aufgrund der chronischen Mehrdurchblutung erweiterte, zuführende Arterie (sogenannte Feederarterie), in diesem Fall eine Arteria genu superior medialis.
Die digitale Subtraktionsangiographie (DSA) in der arteriellen Phase 2 s später zeigt einige kleinere arteriovenöse Fisteln.
Die digitale Subtraktionsangiographie (DSA) in der arteriellen Phase zeigt im Gegensatz zu einer arteriovenösen Malformation nochmals 4 s später keinen direkten frühvenösen Abstrom des Kontrastmittels, sondern eher ein Pooling-Phänomen.
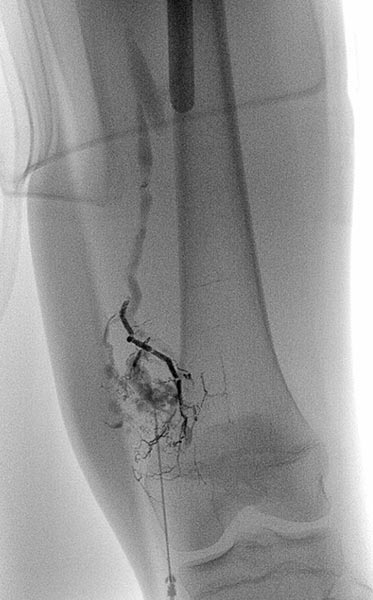
Superselektive Sondierung der Arterie mit einem Mikrokatheter zeigt wiederum die multiplen, feinen arteriovenösen Fisteln, jedoch nicht den für eine AVM typischen sofortigen venösen Abstrom. Diese starken arteriovenösen Fisteln in die VM sind ungewöhnlich ausgeprägt.
Über den Mikrokatheter wird jetzt selektiv mit Ethylen-Vinyl-Alkohol-Kopolymer embolisiert, das sich in den feinen Fisteln verteilt.
In der Röntgenübersichtsaufnahme nach Embolisation der Fisteln zeigt sich der selektive Ausguss der Fisteln mit dem röntgendichten Embolisat (Cast).
In der anschließenden Röntgen-Übersichtsangiographie sind die Fisteln vollständig verschlossen.
In gleicher Sitzung erfolgt dann noch eine Sklerosierungstherapie in Direktpunktionstechnik. Unter Ultraschallsteuerung wird die venöse Malformation anpunktiert und Kontrastmittel injiziert.
Es kontrastiert sich unmittelbar eine drainierende Vene, die in die Vena femoralis abfließt und damit mit dem tiefen Leitvenensystem kommuniziert. Diese wird mit Alkoholgel verschlossen.
Anschließend ist eine komplette Sklerosierung der VM möglich, da das Sklerosierungsmittel nicht mehr über die Kommunikationsvene abfließen kann.
Die vollständig verschlossene venöse Malformation, die atypischerweise deutliche arteriovenöse Fisteln enthielt, konnte nach erfolgreicher Embolisation und Sklerosierungsbehandlung mit vollständigem Verschluss erfolgreich offen reseziert werden. Die axiale T2-gewichtete MRT zeigt die Vollständigkeit der Resektion ohne eine verbliebene Läsion.
Die vollständig verschlossene venöse Malformation, die atypischerweise deutliche arteriovenöse Fisteln enthielt, konnte nach erfolgreicher Embolisation und Sklerosierungsbehandlung nach vollständigem Verschluss erfolgreich offen reseziert werden. Die Patientin ist seither asymptomatisch (3 Jahre, 4 Monate).
Die hier dargestellte venöse Malformation (VM) zeigte bei einem ersten, unvollständigen, offenen Resektionsversuch eine starke, fast arterielle Blutung. Bei der weiteren Abklärung zeigten sich MR-angiographisch multiple arteriovenöse Fisteln in der VM, jedoch nicht das Verhalten einer AVM mit sofortigem venösem Rückstrom. Die venöse Malformation wurde daher zunächst vollständig embolisiert, was normalerweise nicht notwendig ist bei einer VM.
Als zusätzliche Erschwernis fand sich eine deutliche Kommunikation mit dem tiefen Leitvenensystem, die mit Alkohol-Gel verschlossen wurde. Anschließend komplette Sklerosierung.
Die verschlossene venöse Malformation wurde dann komplikationslos vollständig reseziert. Sie ist bis heute asymptomatisch, mit einem Rezidiv ist nicht zu rechnen.
Publiziert: 2018
Alle Abbildungen © Wohlgemuth