Autor/en: Wohlgemuth, Walter A. | Dießel, Linda
Autor/en: Wohlgemuth, Walter A. | Dießel, Linda
Bereits bei Geburt war eine weiche, kissenartige Schwellung eher distal und lateral betont am Bein links sichtbar. Keine begleitende Hautdyskoloration, keine Überwärmung oder erhöhte Pulsation. Das Foto zeigt das Kind am Ende des ersten Lebensjahres.
Die folgenden Fotos wurden am Ende des zweiten Lebensjahres aufgenommen. Gut sichtbar die eher laterodorsale Ausdehnung der Läsion am linken Unterschenkel. Minimal gelblich-bräunliche Hautverfärbung darüberliegend.
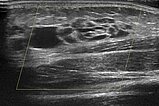
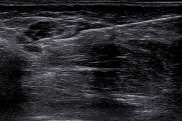
Zum gleichen Zeitpunkt, farbkodierte Duplexsonographie der Läsion. Es handelt sich klar um eine Slow-flow-Läsion mit niedrigem Durchfluss, keine Farbsignale innerhalb der Läsion. Aufgebaut ist sie aus echoarmen, zystisch erscheinenden Räumen mit dünner Wandung und echofreiem Inhalt.
Die koronare Magnetresonanztomographie in T2-Wichtung, fettgesättigt, zeigt die stark hyperintense (fast weiße), zum Teil zystische Läsion am linken Bein im subkutanen Fettgewebe.
In der Magnetresonanztomographie in T1-Wichtung, fettgesättigt, nach Kontrastmittelgabe zeigt die Läsion am linken Bein im subkutanen Fettgewebe keine zentrale Kontrastmittelanreicherung. Allenfalls die Zystenwände reichern zart Kontrastmittel an (Ausschnittvergrößerung rechts). Somit im MRT das Bild einer lymphatischen Malformation.
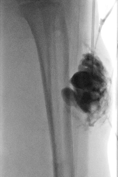
Es erfolgte wegen des deutlichen Progresses und den sich immer wieder entzündenden, schmerzhaften Anteilen eine Sklerosierungstherapie mit Doxycyclin (Konzentration 10 mg/ml) der zystischen Anteile. Das Durchleuchtungsbild zeigt die Punktion und Kontrastierung der Zysten vor Injektion des Sklerosierungsmittels.
Foto 2 Jahre später, das Kind ist jetzt 4 Jahre alt. Relativ zum Körperwachstum gesehen ist die Läsion gering kleiner geworden. Nach wie vor kommt es aber immer wieder zu lokalen Entzündungen, die schmerzhaft sind. Die begleitende geringe, flächige, leicht gelbliche Hautdyskoloration ist in etwa idem geblieben.
Im weiteren Verlauf kommt es immer wieder zu rezidivierenden Erysipelen. Hier ist der Verlauf eines Erysipels am dorsalen proximalen Unterschenkel links als Fotoserie abgebildet. Zunächst am Tag 1 (links) lokale Schmerzen und rötliche, blasse Dyskoloration. Am Tag 3 (Mitte) deutliche Zunahme der Rötung, jetzt auch eine lokale Überwärmung tastbar. Am Tag 5 (rechtes Bild) die Rötung noch etwas zunehmend, die Fläche aber abnehmend. Zu diesem Zeitpunkt die Schwellung und die Schmerzen unter Penicillintherapie jedoch bereits wieder etwas gebessert.
Da das klinische Ergebnis noch nicht zufriedenstellend war, erfolgte eine erneute Sklerosierungsbehandlung (hier das zugehörige Durchleuchtungsbild nach Kontrastmittelinjektion in die Läsion). Eine notwendige Wiederholung war anhand der Größe der Läsion auch von vornherein zu erwarten. Diesmal gleichzeitig mit einer lokalen sonographisch gesteuerten Biopsieentnahme zur histopathologischen Subdifferenzierung der Slow-flow-Gefäßmalformation.
Die Biopsie erfolgte in gleicher Sitzung ultraschallgesteuert mit einer Einmalbiopsiepistole. Die Biopsienadel wird mit einem Federsystem ca. 2 cm in das Gewebe „geschossen“ und über eine kleine Einbuchtung in der Nadel ein kleiner Gewebezylinder von wenigen Millimetern Dicke und knapp 2 Zentimeter Länge gewonnen. Wenn der Zielort dieser sehr kleinen Gewebeprobe gut gewählt wurde, ist hier eine histopathologische Beurteilung sehr gut möglich ohne größere Verletzung.
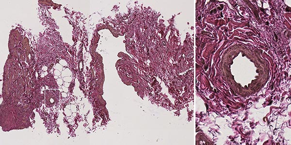
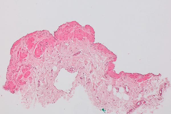
Histopathologischer Schnitt des gewonnenen Biopsiepräparates; Hämatoxylin-Eosin-Färbung, Übersichtsvergrößerung, 20-fach; gut sichtbar die unregelmäßige Wandstruktur der dysplastischen Gefäßräume, typisch für eine Gefäßmalformation. Wieder ist der eigentliche dysplastische Gefäßraum größer als das gewonnene Gewebestück. Daher ist die Gefäßwand auch nicht tubular dargestellt, sondern das Gefäß wie „umgestülpt“ und die Wand außen randbildend ohne ein eigentlich sichtbares rohrförmiges Gefäß. Das mit dargestellte Fettgewebe ist unspezifisch.
Hämatoxylin-Eosin-Färbung, 40-fache Vergrößerung als Übersicht; hier ein anderer Gefäßabschnitt dargestellt. Die unregelmäßige, zum Teil ganz fehlende Wandstruktur der dysplastischen Gefäßräume in der ganzen Läsion ist wiederum typisch für eine Gefäßmalformation.
Hämatoxylin-Eosin-Färbung, 100-fache Vergrößerung; eben sichtbar in dieser Vergrößerung ist die Endothelzellschicht, die die innere Auskleidung eines größeren, dysplastischen Gefäßraumes bildet. Damit stellen sich in dem kleinen Präparatausschnitt die eigentlich im Gefäß innen wandbildenden Gefäßendothelzellen als „außenliegend“ dar, da nicht das gesamte Gefäßareal dargestellt ist. Der Verlauf und die Dicke sowie die Verteilung der darunterliegenden, dunkelrosa gefärbten, glattmuskulären Gefäßwand sind sehr unregelmäßig (Malformation).
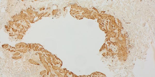
Immunhistologische CD31-Färbung, Gefäßendothelzellen färben sich damit spezifisch an, links 40-fache Übersicht, rechter Bildausschnitt 200-fache Vergrößerung. Die dysplastischen Räume sind mit CD31-positiven Endothelien ausgekleidet, dieser Marker bekräftigt damit den Gefäßcharakter der Läsion. Die Braunfärbung mit dem CD31-Antikörper entsteht membranständig an den auskleidenden Endothelzellen (Darstellung ähnlich einer zytoplasmatischen Färbung), wie dies in der Ausschnittsvergrößerung (rechts) zu sehen ist.
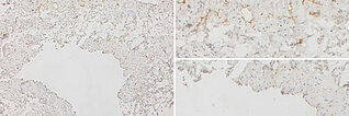
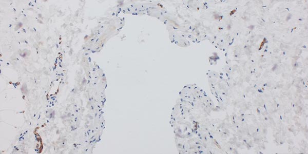
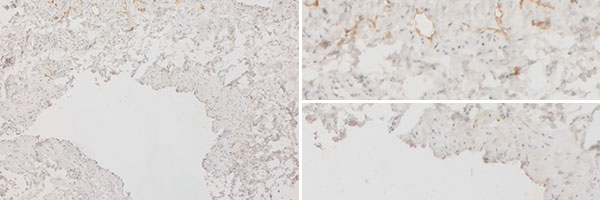
Immunhistologische Färbung auf Podoplanin mit D2-40-Antikörpern, 110-fache Vergrößerung. Das Endothel des großen dysplastischen Gefäßraums ist nicht D2-40-positiv (venöse Malformation, Ausschnitt unten rechts). Einzelne kleinere dysplastische Gefäßraume dagegen (Ausschnitt oben rechts) färben dagegen mit D2-40 an (lymphatische Malformation). Zwar liegen oft auch einzelne physiologische Lymphgefäße innerhalb einer Läsion, die Anzahl ist jedoch normal nicht so erhöht wie hier. Damit liegt hier eine kombinierte venolymphatische Malformation histologisch vor.
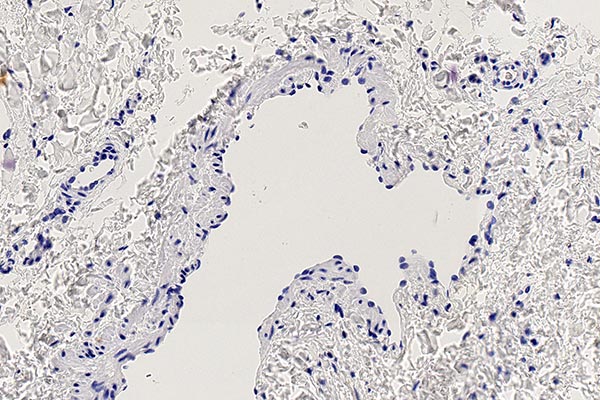
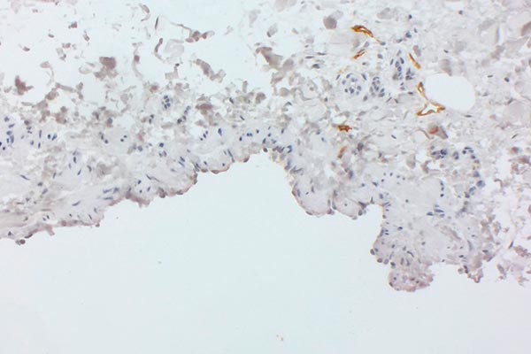
D2-40-Antikörperfärbung, 200-fache Vergrößerung. In dem hier dargestellten Abschnitt der Läsion ist das Endothel des großen dysplastischen Gefäßraums klar nicht D2-40-positiv und stellt damit keinen Lymphatischen, sondern einen venösen Malformationsanteil dar. Die wenigen mit dargestellten kleinen Gefäßräume mit D2-40-positiven Endothelzellen sind von Größe und Anzahl alleine nicht als pathologisch zu werten, damit eher physiologische Lymphgefäße.
Immunhistologische Färbung auf den Transskriptionsfaktor ERG, der nukleär in Gefäßendothelzellen exprimiert wird; 130-fache Vergrößerung. Das Endothel des großen dysplastischen Gefäßraums färbt stark bräunlich im Bereich der Auskleidung zum Lumen hin an. Mit angeschnitten auch Anteile von weiteren, kleinen Arealen mit Gefäßendothelien. Die ERG-Färbung wird oft analog zur CD31-Färbung auf Gefäßendothelien angewendet und ist ähnlich spezifisch.
Histopathologische Färbung Elastika van Gieson (EvG) zur Darstellung von Muskulatur, Bindegewebe und elastischen Fasern; hier 100-fache Vergrößerung. Die Elastika van Gieson-Färbung zeigt hier schön den Unterschied zwischen einem dysplastischen, irregulären Wandaufbau in der Gefäßmalformation und einem normalen, regelhaften Gefäßwandaufbau (Ausschnittsvergrößerung rechts). Die dysplastischen glatten Muskelfaserzüge der Malformation sind gelbbraun gefärbt, dies hebt sich gut von dem satt rot gefärbten umgebenden Bindegewebe ab. Die in einer EvG schwarz dargestellten elastischen Fasern sind hier kaum zu sehen. Der hier gezeigte unregelmäßige Aufbau ist atypisch und zeigt die fehlgebildete Venenwandstruktur der Malformation an. Zum Vergleich rechts im Ausschnitt der normale Aufbau der glatten Muskulatur eines gesunden Gefäßes, gleichmäßig zirkulär.
SMA-Färbung („smooth muscle actin“) zur Darstellung u. a. von glatter Gefäßwandmuskulatur; 100-fache Vergrößerung. In dieser Färbung wird die glatte Muskulatur, die außen unterhalb des Gefäßendothels liegt, dunkelbraun angefärbt. Man sieht damit schön übersichtlich die unregelmäßige, ganz unterschiedlich dicke Umrandung des dysplastischen Gefäßraumes der venösen Malformation mit glatten Muskelzellen. Dies ist ein klarer Hinweis auf eine Malformation.
Immunhistochemische Färbung auf das Protein WT1 (Wilms Tumor 1), 200-fache Vergrößerung. Der Marker WT1 ist besonders hilfreich zur Unterscheidung von vaskulären Malformationen (keine endotheliale Positivität) und vaskulären Tumoren (Endothelien WT1-positiv). Eine Ausnahme bilden normale, proliferierende Gefäße und vor allem arteriovenöse Malformationen, die ebenfalls WT1-positive Endothelien aufweisen. An dem hier gezeigten Präparat ist gut die fehlende Anfärbung der Endothelien im fehlgebildeten Gefäßraum zu sehen, klarer Hinweis auf eine Gefäßmalformation (WT1-negativ). Normal ausgebildete, kapilläre Gefäße außenherum zeigen eine intensive zytoplasmatische braune WT1-Färbung, gutes Zeichen dafür, dass die Färbung technisch gut funktioniert hat.
Zur Bestimmung der Wachstumsfraktion einer Zellpopulation wird mit dem MIB-1-Antikörper das Ki67-Protein gefärbt, das proliferierende Zellen anzeigt; Vergrößerung 250-fach. Weder in der darunterliegenden dysplastischen Gefäßwand, noch im Bereich der zugehörigen Gefäßendothelien findet sich ein Anhalt auf gesteigerte Proliferation auf zellulärer Ebene. Damit hier eine benigne, nicht proliferierende Läsion.
Eine hautfarbene bis gering gelbliche, weiche Schwellung am linken Unterschenkel und Knie zeigte sich bereits im Säuglingsalter, ein Lymphödem am Fuß bestand damals nicht. Da die Läsion schnell fortschritt und rezidivierende Erysipele auftraten, Entschluss zur frühen Therapie mittels Sklerosierung. Die Klinik und die Bildgebung waren deutlich hinweisend auf eine lymphatische Malformation. Zur Sicherung wurde hier bei atypischem Verlauf noch eine histopathologische Sicherung der Diagnose durch eine kleine 16-Gauge-Stanzbiopsie durchgeführt.
Die histopathologische Aufarbeitung zeigte dann auch den typischen Befund einer benignen Gefäßläsion (CD31-positiv) mit dysplastischem, asymmetrisch unregelmäßigem Wandaufbau. Wie für solche Slow-flow-Gefäßmalformationen typisch, ist die glattmuskuläre Gefäßwand nicht überall gleich dick und symmetrisch ausgebildet, sondern fehlt zum Teil sogar ganz (SMA, EvG). Kaum Proliferation des beteiligten Gewebes (Ki67 sehr niedrig). Die fehlende WT1-Positivität der betroffenen Gefäßendothelien ist ein weiterer Hinweis auf eine Gefäßmalformation. Wesentlichstes histopathologisches Unterscheidungsmerkmal zwischen einer lymphatischen Malformation und einer venösen Malformation ist die immunhistochemische Anfärbung des Podoplanin der Gefäßendothelien der Läsion mittels des Antikörpers D2-40. Nur die Gefäßendothelzellen einer lymphatischen Malformation (D2-40 positiv) färben hier an. In dem Präparat zeigten sich zusätzlich auch multiple dysplastische Gefäßmalformationsareale, deren Gefäßendothel nicht mit D2-40 anfärbte, also handelte es sich hierbei um Anteile einer venösen Malformation. Die korrekte histopathologische Diagnose ist daher auch eine kombinierte venolymphatische Malformation. Die klinisch und in der Bildgebung klar im Vordergrund stehende lymphatische Komponente steht in dem Präparat der hier gewonnenen Stanzbiopsie aus der Läsion gegenüber der venösen Komponente eher im Hintergrund.
Publiziert: 2022
Alle Abbildungen © Wohlgemuth/Dießel