Autor/en: Wildgruber, Moritz
Autor/en: Wildgruber, Moritz
11-Monate alter Säugling mit hart tastbarem Tumor am rechten Oberarm. Rötlich-livide Verfärbung der Haut. Über den kolorierten Arealen prall gespanntes, ödematöses sowie überwärmtes Gewebe. Keine wesentliche Druckempfindlichkeit der Läsion. Umfangsvermehrung des Armes auf ein Dreifaches gegenüber der gesunden Gegenseite. Die Laboruntersuchung zeigte eine Thrombozytopenie (76.000/µl), gleichzeitig erhöhte D-Dimere (5549 ng/ml ) sowie erniedrigtes Fibrinogen (189 mg/dl ) als Zeichen eines Kasabach-Merritt-Phänomens.
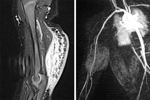
MRT Bildgebung (links – TIRM-Sequenz, rechts – dynamische MR-Angiographie). Nachweis unscharf begrenzter Signalanhebungen des dorsalen Oberarmes durch den Tumor mit senkrecht zur Haut verlaufenden hyperintensen Septen, entsprechend einem ausgedehnten lokalen Lymphödem. In der dynamischen MR-Angiographie Nachweis eines in der arteriellen Kontrastmittelphase hyperperfundierten Tumors mit klar erkennbaren arteriellen Feedergefäßen aus der A. brachialis.
MRT-Bildgebung (links TIRM-Sequenz, rechts T1-Wichtung mit spektraler Fettsättigung nach Gadoliniumgabe). Darstellung der diffusen Infiltration des dorsalen Oberarmes mit charakteristischer Verdickung der Kutis, subkutan betontem Lymphödem sowie diffuser Kontrastmittelanreicherung des Tumors, die schwer von einander abzugrenzen sind. In Zusammenschau von Laboruntersuchung, klinischem Befund sowie MRT-Bildgebung wurde die Diagnose eines kaposiformen Hämangioendothelioms gestellt.
Aufgrund der progredienten Thrombozytopenie mit Kasabach-Merritt-Phänomen wurde die Entscheidung zur Embolisation mit Biopsie in gleicher Sitzung gefällt. Um die Aggregation der Thrombozyten innerhalb der Läsion zu reduzieren und damit der Verbrauchskoagulopathie entgegen zu wirken, wurde eine orale Therapie mit Acetylsalicylsäure (10 mg p.o.) parallel zur Embolisation begonnen.
Digitale Subtraktionsangiographie links über die Arteria brachialis und rechts über den Mikrokatheter, welcher in der hypertrophierten Feederarterie am rechten Oberarm platziert wurde.
Digitale Subtraktionsangiographie nach Beginn der Embolisation mit Ethylen-Vinyl-Alkohol-Kopolymer über einen Mikrokatheter mit ablösbarer Spitze. Gleichzeitig Entnahme einer Stanzbiopsie zur histologischen Untersuchung.
Digitale Subtraktionsangiographie nach Embolisation von geschätzt 70 % der arteriellen Tumorversorgung zur Verbesserung des Kasabach-Merritt-Phänomens.
Anschließend Initiierung einer oralen Therapie mit Sirolimus, Ziel: Talspiegel in der Früh vor Einnahme des Medikamentes 5–8 Nanogramm/ml. Hierzu sind initial täglich, später zweiwöchentliche Spiegelbestimmungen erforderlich, die jedoch ambulant durchgeführt werden können.
Klinische Befunde im Verlauf 2 Tage nach Embolisation (links), 2 Wochen nach Embolisation (Mitte), sowie 4 Monate (rechts) nach Embolisation und Beginn der Sirolimustherapie. Der Armumfang beträgt rechts nur noch 4 cm mehr im Vergleich zur Gesunden Gegenseite. Die Thrombozytopenie hatte sich im Verlauf von 4 Wochen komplett normalisiert, ebenfalls die D-Dimere sowie der Fibrinogenspiegel. Das Kasabch-Merritt-Phänomen war vollständig durchbrochen. Die ASS-Gabe wurde über den Zeitraum von 6 Monaten, parallel zur Sirolimustherapie fortgesetzt.
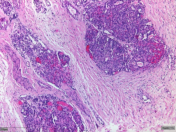
Histologie in Hämatoxilin-Eosin-Färbung.
Der Tumor besteht aus irregulären, glomeruloiden Gefäßknoten die das Weichgewebe diffus infiltrieren („cannon-ball“) und mit einer Stromadesmoplasie einhergehen.
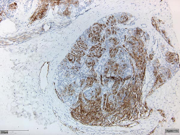
Histologie in Podoplaninfärbung (D2-40).
Die D2-40-Positivität für lymphatisches Endothel zusammen mit dem gefäßreichen Tumor bestätigten die Diagnose eines kaposiformen Hämangioendothelioms.
Das kaposiforme Hämangioendotheliom (KHE) ist ein sehr seltener Gefäßtumor von Säuglingen und Kleinkindern, der oft nach der Geburt auftritt. Während der Tumor praktisch kaum Metastasierungspotenzial besitzt, penetriert er invasiv alle Gewebeschichten. KHE sind immer extrem hypervaskularisiert und weisen eine ausgeprägte Neoangiogenese der Blut- und Lymphgefäße auf. Das aktivierte Endothel innerhalb des Tumors führt zu einer lokalen Gerinnungsaktivierung innerhalb des Tumors und folgend zu einer bestimmten Form der Verbrauchskoagulopathie (Kasabach-Merritt-Phänomen) mit charakteristischer tiefer Thrombozytopenie. Die Thrombozyopenie kann dabei zu lebensbedrohlichen Blutungen führen, sodass eine zügige Therapie geboten ist. Bluttransfusionen oder die Gabe von Thrombozytenkonzentraten haben keine nachhaltige Wirkung, da die verabreichten Blutprodukte zügig innerhalb der Läsion verbraucht werden. Durch die Embolisationstherapie kann der Kontakt zwischen dem Blut und dem pathologisch aktivierten Endothel reduziert werden und damit primär das Kasabach-Merritt-Phänomen therapiert werden. Aufgrund der typischen Aktivierung der PI3K/AKT/mTOR-Signaltransduktionskaskade kann durch die Sirolimustherapie das Tumorwachstum deutlich reduziert und die vaskuläre Proliferation eingedämmt werden. Hierbei handelt es sich jedoch um Off-Label-Use, die bisherige wissenschaftliche Evidenz für eine derartige Therapie ist bisher gering und sollte einem Zentrum vorbehalten sein.
Publiziert: 2018
Alle Abbildungen © Wildgruber