Autor/en: Wohlgemuth, Walter A.
Autor/en: Wohlgemuth, Walter A.
Junge mit angeborenem, blau-livide dyskoloriertem Tumor in der linken Leiste und am proximalen Oberschenkel (Foto vom 3. Lebenstag).
In der B-Bild-Sonographie (Bild oben) ist der Tumor relativ homogen, echoarm und klar solide, nicht komprimierbar. Die farbkodierte Duplexsonographie (Bild unten) zeigt eine starke Perfusion durch multiple arterielle Gefäße. Dies spricht für einen angeborenen vaskulären Tumor, in diesem Fall in Kombination mit dem bläulichen Erscheinungsbild für den Sonderfall eines kongenitalen Hämangioms.
Die Kontrollsonographie (FKDS) im 4. Lebensmonat zeigt keine Veränderung der Echogenität, insbesondere keine Zeichen einer Involution. Weiterhin starke Perfusion und keine Zunahme der Echogenität, wie das bei einem rasch involutierenden kongenitalen Hämangiom (RICH) der Fall wäre.
Foto am Ende des 4. Lebensmonats. Sowohl die Ausdehnung als auch das Volumen zeigen keine Zeichen einer Involution.
Foto Ende des 6. Lebensmonats, weiterhin keine wesentliche Veränderungen, der Gefäßtumor wirkt eher etwas praller.
Ende des 10. Lebensmonats, weiterhin keine Involutionszeichen. Ein RICH (Rapidly Involuting Congenital Hemangioma) kann damit sicher ausgeschlossen werden. Auch sonographisch zeigt sich keine Änderung. Blutgerinnung und Thrombozyten ohne pathologische Veränderungen, es liegt kein Kasabach-Merritt-Phänomen vor. Die Diagnose eines NICH (Non-Involuting Congenital Hemangioma) ist damit die wahrscheinlichste.
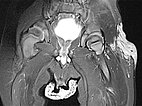
Die koronare, T2-gewichtete, fettgesättigte MRT zeigt den Tumor in der linken Leiste homogen stark hyperintens (13. Lebensmonat) und klar solide. Nebenbefundlich die durchnässte Windel, ebenfalls mit hoher Signalintensität.
Gleiche MRT-Sequenz, koronare Schichtführung. Der Tumor liegt nicht nur epifaszial, sondern zeigt auch eine geringe Ausdehnung nach subfaszial unter die Fascia lata in die Glutealmuskulatur. Damit klar infiltratives Verhalten.
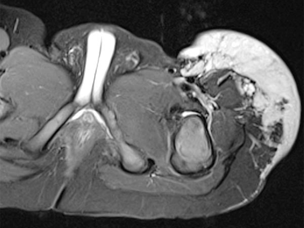
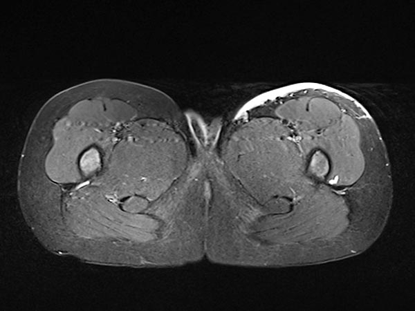
Auch in der axialen Schichtführung der MRT (T2-gewichtet, fettgesättigt) ist die Infiltration der Muskulatur durch die Raumforderung gut dargestellt. Auch Hämangiome können als vaskuläre Tumoren eine solche Infiltration aufweisen, ohne dass sie maligne sein müssen.
In der nativen koronaren T1-gewichteten MRT ist der Tumor isointens zur Muskulatur ohne enthaltene Fettgewebsanteile. Er ist somit in dieser Sequenz kaum von der Muskulatur abgrenzbar.
Die axiale T2-Wichtung ohne Fettsättigung zeigt den Tumor homogen nur gering hyperintens. Er ist zwar hyperintenser als Muskulatur, aber insgesamt deutlich weniger hyperintens als das umgebende subkutane Fettgewebe.
Koronare, T1-gewichtete, fettgesättigte MRT nach Kontrastmittelgabe. Der Tumor zeigt ein homogenes, starkes Enhancement. Daneben zwei zentrale Flow-voids als Zeichen der starken arteriellen Perfusion.
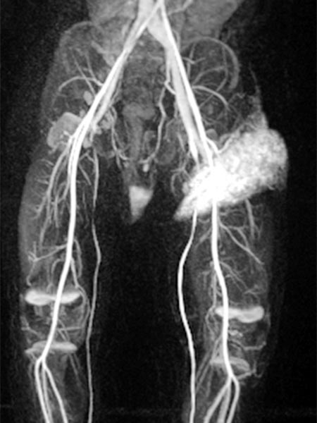
Kontrastmittelunterstützte, dynamische MR-Angiographie (koronare Schichtführung).
30 s nach KM-Injektion in der früharteriellen Phase kommt es zu einem sofortigen, frühen Enhancement des Tumors in der linken Leiste.
Kontrastmittelunterstützte, dynamische MR-Angiographie (koronare Schichtführung).
41 s nach KM-Injektion in der spätarteriellen Phase kommt es zu einem weiteren, eher diffusen, starken Enhancement des Tumors („tumor-blush“) in der linken Leiste, entsprechend einem soliden Gefäßtumor.
Kontrastmittelunterstützte, dynamische MR-Angiographie (koronare Schichtführung).
57 s nach KM-Injektion in der frühen venösen Phase reichert der gesamte Tumor weiterhin stark an. Es kontrastiert sich jetzt auch eine im Seitenvergleich stark erweiterte frühe Drainagevene. Durch die starke Tumorperfusion mit erhöhtem venösen Abstrom hat sich die venöse Drainage (Venae iliacae links) dilatiert.
Kontrastmittelunterstützte, dynamische MR-Angiographie (koronare Schichtführung).
130 s nach KM-Injektion in der späten Phase bleibt das starke Enhancement des Tumors in der linken Leiste erhalten, kein frühes „wash-out“. Auch die erweiterte venöse Drainage über die linken Iliakalvenen kontrastiert nach wie vor.
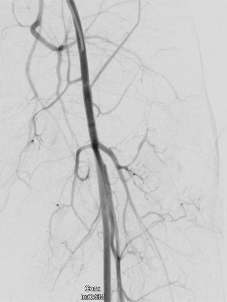
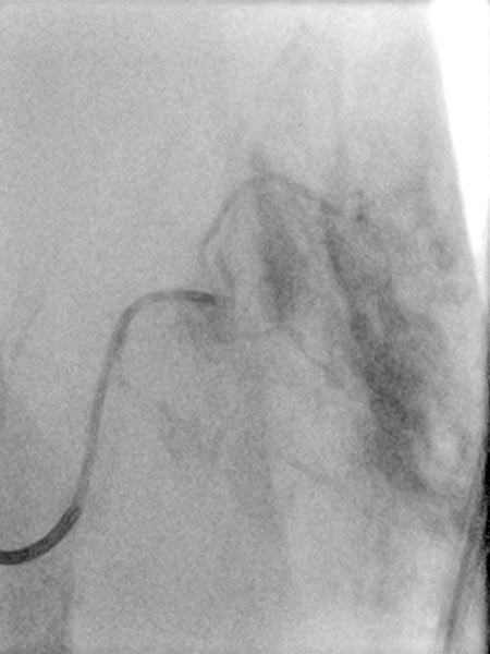
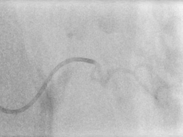
Nachdem am Ende des 3. Lebensjahres immer noch keine Rückbildungstendenz des Tumors sichtbar war, wurde nach einer Biopsie eine Embolisation zur Induktion einer Involution durchgeführt. Die Digitale Subtraktionsangiographie (DSA) zeigt einen Mikrokatheter superselektiv in einem Tumorgefäß. Der Tumor ist stark perfundiert und lobuliert, sehr früher venöser Abstrom, typisch für ein NICH.
Partikelembolisation mit sphärischen Partikeln der Größe 250 Mikrometer über den superselektiv in den Tumor eingeführten Mikrokatheter.
Weitere Tumorgefäße mit blush-artigem, diffusem Enhancement, typisch für Gefäßtumor/NICH. All diese Gefäße müssen selektiv embolisiert werden um eine Involution zu induzieren.
Weitere selektive Partikelembolisation. Die mit Kontrastmittel gemischten Embolisationspartikel verbleiben in den Tumorgefäßen.
Auch in der Übersichtsangiographie über die linke Arteria iliaca externa zeigt sich keinerlei Perfusion des Tumors mehr, die Tumorvaskularisation ist somit erfolgreich superselektiv vollständig verschlossen. Alle nicht pathologischen Arterien sind erhalten.
Bereits unmittelbar nach Embolisation ist der Tumor in der Farbe deutlich blasser geworden, auch das Volumen hat deutlich abgenommen als Zeichen der Involution, die durch die Embolisation mit Ausschalten der Vaskularisation induziert wurde.
Auf eine zunächst geplante zusätzliche operative Resektion der Tumorreste wurde aufgrund des guten Ergebnisses verzichtet. Der weitere Verlauf wird abgewartet.
Im weiteren Verlauf nach der Embolisation hat der Tumor stark an Volumen abgenommen, er ist jetzt nicht mehr erhaben und asymptomatisch.
Foto im Alter von 4 Jahren 8 Monaten. Als Rest des NICH ist lediglich noch eine lokale bläuliche Dyskoloration der Haut zu sehen.
Eine weitere invasive Therapie ist nicht mehr notwendig.
Foto des Patienten im Alter von 7 Jahren und 10 Monaten.
Das NICH ist noch bläulich durchschimmernd durch die Haut sichtbar, zeigt jedoch kaum mehr Raumforderungswirkung und ist weniger farbintensiv.
Axiale, T2-gewichtete, fettunterdrückte MRT des Patienten im Alter von 7 Jahren und 10 Monaten.
Das NICH noch sichtbar unter der Haut als hyperintense (weiße) flache Struktur, jedoch deutlich kleiner als vor der Embolisation.
Infrarot-Thermographiebild des Patienten im Alter von 8 Jahren und 10 Monaten.
Wärmere Areale werden hier heller bis weißlich farbkodiert.
Die wärmere Temperatur in den Hautfalten der Leiste ist normal.
Noch geringe Überwärmung im Bereich des Residuums des NICH, aber ebenfalls gering ausgeprägt.
Kongenitale Hämangiome sind sehr seltene vaskuläre Tumoren und im Gegensatz zum infantilen Hämangiom angeboren, also bei Geburt bereits voll ausgeprägt. Sie werden in der Regel entweder innerhalb weniger Monate schnell spontan kleiner (RICH) oder involutieren überhaupt nicht (NICH). Sie reagieren nicht auf die Gabe von Propranolol. Bei ausgedehnten Tumoren in ungünstiger Lage kann im Einzelfall die superselektive Embolisation nach Biopsie zur Induktion einer Involution eine Alternative zur offenen Resektion sein. Auf die bei diesem Patienten im Anschluss geplante Resektion konnte aufgrund des guten Ergebnisses verzichtet werden.
Publiziert: 2020
Alle Abbildungen © Wohlgemuth