Autor/en: Wohlgemuth, Walter A.
Autor/en: Wohlgemuth, Walter A.
13-jährige Patientin mit chronischen Schmerzen und zunehmender, hart tastbarer Schwellung und Volumenvermehrung linke Wade seit über 4 Jahren (Ansicht von hinten). In den letzten 1,5 Jahren hat sich zusätzlich ein progredienter Spitzfuß links entwickelt. Die darüber liegende Haut ist nur minimal bläulich dyskoloriert. Das rechte Bein ist zudem länger als das linke. Die Kombination aus eher chronischem, nicht phasenhaftem Schmerz und progredientem Spitzfuß lässt an eine Sonderform der venösen Malformation, die Fibro-Adipose Vascular Anomaly (FAVA) denken. Diese besteht neben venöser Malformation und Fettgewebe auch aus Bindegewebe, das sich zunehmend kontrahiert.
In der seitlichen Ansicht ist die lokale Volumenvermehrung nochmals besser zu sehen.
Die koronare T1-gewichtete native MRT zeigt eine intramuskuläre, gefäßreiche Läsion (isointens zur Muskulatur) mit deutlich zwischengelagertem hyperintensem Fettgewebe, mehr als bei einer normalen venösen Malformation üblich.
In der axialen T2-gewichteten MRT des linken Unterschenkels finden sich mehrere dilatierte, dysplastische Venen im Sinne einer venösen Malformation in der gesamten oberflächlichen Flexorenmuskulatur. Durch den niedrigen Durchfluss kommt es zur Stase des Blutes innerhalb der Malformation mit der Bildung von Flüssigkeits-Spiegeln. Praktisch der gesamte Muskel ist von Malformation und Fettgewebe durchsetzt. Großer Thrombus in einer dilatierten, dysplastischen Vene.
In der kontrastmittelunterstützen MR-Angiographie (MIP) zeigt sich ein komplettes Enhancement der venösen Malformationskomponente in der linken Wade mit Kontrastmittelpooling.
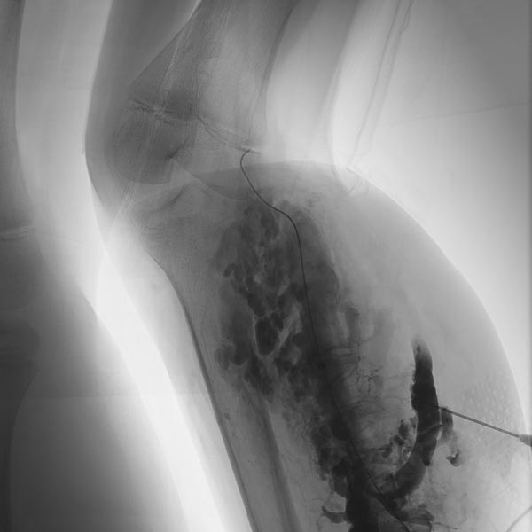
Die Phlebographie nach Direktpunktion des venösen Malformationsanteils zeigt eine großlumige Drainagevene, die in der Kniekehle mit der V. poplitea kommuniziert. Diese muss zunächst verschlossen werden, da sonst das Sklerosierungsmittel darüber abfließen könnte und potentiell eine Thrombose der tiefen Leitvenen des Beins (und eine Lungenembolie) verursachen könnte. Zudem besteht grundsätzlich ein erhöhtes Thrombembolierisiko bei der Patientin, dass durch den Verschluss deutlich vermindert werden kann.
Dazu wird zunächst über einen Einführungsdraht eine großlumige Einführungsschleuse vorgebracht, die zum Einführen der Laserfaser dient. Dieser wird über die Vene bis zum Kommunikationspunkt in der Kniekehle vorgeschoben.
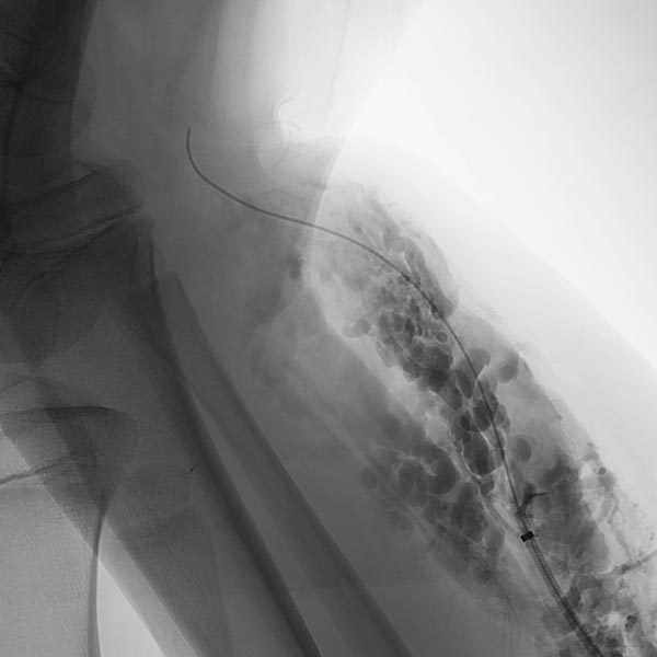
Durch diese Schleuse wird eine Laserfaser zur endovaskulären Lasertherapie vorgeführt. Durch die Erhitzung des Laserstrahls kommt es zu einer massiven Reizung der Venenwand, die sich anschließend sehr schnell verschließt. Um die Laserspitze kommt es sofort zur Thrombusbildung (weiß, da als Kontrastmittelaussparung sichtbar).
Nach Verschluss durch die Laserfaser und Anspritzen über die zurückgezogene Schleuse kommt es nicht mehr zu einem Abstrom des Kontrastmittels über die Kommunikationsvene, die erfolgreich verschlossen ist. Es kontrastiert sich nur noch die venöse Malformation. Diese ist jetzt bereit zur Sklerosierungsbehandlung, da dieses nicht mehr abfließen kann.
Auch nach zusätzlicher Punktion des ganz distalen Anteils der großlumigen Kommunikationsvene zeigt sich kein Abstrom mehr ins tiefe Leitvenensystem. Somit ist auch im Langfristverlauf die Gefahr gebannt, dass es zur Embolie von Thromben aus der venösen Malformation in zentrale Venen kommt.
Erneute Sklerosierungsbehandlung 3 Monate nach der ersten Behandlung mit Aethoxysklerolschaum 3 % nach Direktpunktion mit einer Nadel unter sonographischer Steuerung. Die weiter proximal gelegenen Anteile der venösen Malformation sind zum Teil verschlossen, die noch offenen Kanäle deutlich verkleinert. Keine Kommunikation mehr mit dem tiefen Leitvenensystem. Inzwischen war zum Beinlängenangleich rechts eine temporäre Epiphyseodese mit vorübergehender Klammerung der Wachstumsfugen durchgeführt worden.
Es erfolgte eine erneute Punktion weiter proximal am Unterschenkel, da hier sonographisch noch offene Anteile der venösen Malformation nachweisbar waren. Nach Anspritzen kontrastieren sich nur noch wenige, kleinlumige Abschnitte der Malformation. Sklerosierungsschaum in den Hohlräumen des distalen Anteils der Malformation (als Aufhellung sichtbar).
Die Kontroll-MR-Angiographie zeigt eine deutliche Befundbesserung. Die dysplastischen, erweiterten Kanäle der venösen Malformation sind zu einem guten Teil verschlossen.
In der koronaren nativen T1-gewichteten Kontroll-MRT sind die Gefäßanteile der Läsion deutlich weniger abgrenzbar. Es bleibt jedoch deutlich zusätzliches Gewebe bestehen („Salz-und-Pfeffer-Muster“), zum Teil hyperintenses Fettgewebe, zum Teil hypointenses Bindegewebe. Dies ist typisch für eine Fibro-adipose Vascular Anomaly (FAVA).
Auch in der axialen Kontroll-MRT in T2-Wichtung sind die Gefäßkanäle zum großen Teil verschlossen. Nach erfolgreichem Verschluss bleibt aber ein schwarz-weißes „Salz-und-Pfeffer-Muster“ bestehen, das typisch für eine FAVA ist. Es besteht aus Fettgewebe (hyperintens) und Bindegewebe (hypointens).
Die letzten verbliebenen offene Gefäßkanäle des venösen Malformationsanteils werden in einer weiteren Sklerosierungssitzung jetzt noch mit Alkoholgel verschlossen (Phlebographie in Direktpunktionstechnik). Dieses Sklerosierungsmittel ist besonders effektiv und durch seine hohe Viskosität weniger in der Gefahr durch verbliebene Verbindungen ins tiefe Leitvenensystem abzuströmen.
Durch Injektion des nicht kontrastgebenden Alkoholgels kommt es zu einer Verdrängung des Kontrastmittels durch das Alkoholgel.
Nach dieser Behandlung haben sich die Schmerzen der Patientin deutlich gebessert. Sie leidet danach nur noch selten unter Schmerzen an der linken Wade, besonders nach stärkerer körperlicher Belastung. Inzwischen ist auch eine erfolgreiche offen operative Achillessehnenverlängerung erfolgt zur Beseitigung des Spitzfußes, die aufgrund des Verschlusses der venösen Malformationsanteile ohne Gefahr einer vermehrten Blutung erfolgte.
Klinische Kontrolle der inzwischen 17-jährigen, ausgewachsenen Patientin (Ansicht von hinten). Die Symptomatik hat sich fast vollständig zurückgebildet. Das Volumen und die Hautfarbe der betroffenen linken Wade ist jetzt fast an die rechte Seite angeglichen. Eine klinisch relevante Beinlängendifferenz besteht nicht mehr nach erfolgreicher temporärer Epiphyseodese des rechten Beins. Nach Erlangen der vollen Körpergröße ist die Rezidivwahrscheinlichkeit auch bei der FAVA deutlich geringer.
Klinische Kontrolle der inzwischen 17-jährigen, ausgewachsenen Patientin (seitliche Ansicht). Nach Erlangen der vollen Körpergröße ist die Rezidivwahrscheinlichkeit auch bei der FAVA deutlich geringer.
Die Fibro-Adipose Vascular Anomaly (FAVA) stellt eine seltene Unterform der venösen Malformation dar. Sie liegt immer intramuskulär (meist in der Wade) und besteht neben der venösen Malformation aus vermehrtem, zusätzlichem Fettgewebe und Bindegewebe. Sie zeigt einen besonders schwer zu beeinflussenden Dauerschmerz und führt durch den sich langsam kontrahierenden Bindegewebsanteil (ähnlich einer Narbe) zu einer langsam progredienten Muskelkontraktur, hier mit Spitzfuß.
In diesem Fall lag als zusätzliche Schwierigkeit eine große Kommunikationsvene ins tiefe Leitvenensystem vor, die zunächst endovaskulär mittels Lasertherapie verschlossen wurde. Mehrere Sklerosierungsbehandlungen führten zu einer wesentlichen Verbesserung mit nur geringem Schmerz nach insgesamt 2 Jahren Behandlung. Die Achillessehne wurde verlängert um den ausgeprägten Spitzfuß zu behandeln, auch die temporäre Epiphyseodese zum Beinlängenangleich war erfolgreich.
Publiziert: 2018
Alle Abbildungen © Wohlgemuth