Autor/en: Wohlgemuth, Walter A. | Dießel, Linda
Autor/en: Wohlgemuth, Walter A. | Dießel, Linda
33-jähriger Patient, der sich gesund fühlt. Er hat aber seit knapp 2 Jahren rezidivierende Schmerzen und eine Schwellung lumbal links. In der MRT bei V. a. Bandscheibenvorfall wird ein unklarer Tumor gefunden. Daraufhin Vorstellung zur Biopsie und weiteren Abklärung der Läsion. In der Infrarot-Thermographie (Abbildung rechts) zeigt sich keine lokale Überwärmung oder Veränderung der Perfusion im Bereich des Schmerzes. Im Foto (Abbildung links) aktuell auch keine Schwellung oder Hautverfärbung.
In der MRT in koronarer Schichtführung ist die Läsion sehr gut sichtbar. In der T2-gewichteten Sequenz mit Fettsättigung (linkes Bild) ist die Läsion stark hyperintens (weiß). In der nativen T1-Wichtung (rechtes Bild) praktisch isointens zur umgebenden Rückenmuskulatur. Beachte hier das randständig in der Läsion sichtbare, in T1-Wichtung hyperintense Fettgewebe.
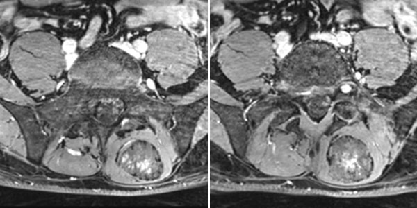
In der axialen T2-gewichteten Sequenz der MRT liegt die Läsion in der autochtonen Rückenmuskulatur. Klassischer Flüssigkeits-Flüssigkeits-Spiegel durch schwerkraftbedingte Sedimentationseffekte bei dem in Rückenlage ruhig im Gerät liegenden Patienten.
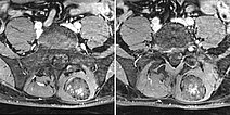
In der dynamischen, konstrastmittelunterstützten MR-Angiographie (hier Spätphase über 2 min nach i.v. Kontrastmittelgabe, links koronare und rechts sagittale Rekonstruktion) zeigt die Läsion keine Kontrastmittelanreicherung oder vermehrte Vaskularisation. Sie ist praktisch nicht sichtbar.
In der axialen, fettgesättigten T1-Wichtung nach Kontrastmittelgabe kommt es erst langsam und unvollständig zu einer zunächst inhomogenen Kontrastmittelanreicherung im Sinne eines Kontrastmittelpoolings. Auch dies ist relativ typisch für eine venöse Malformation.
Es wird unmittelbar anschließend eine sonographisch gesteuerte Stanzbiopsie mit einer dünnen 16-Gauge-Biopsienadel durchgeführt. Nur geringe Blutung bei der Nadelbiopsie, die durch Kompression schnell gestillt wird. Beachte das gewonnene dunkelrote Gewebestückchen, das makroskopisch fast wie Blut aussieht, aber aus den blutgefüllten, dysplastischen Hohlräumen der venösen Malformation besteht.
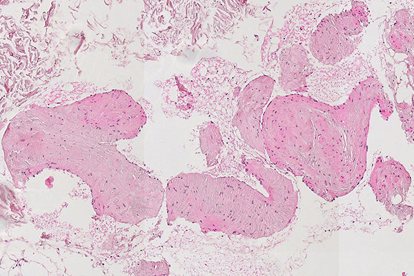
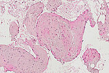
Histopathologischer Schnitt; Hämatoxylin-Eosin-Färbung (HE), 90-fache Vergrößerung des Stanzzylinders. Stanzzylinder mit Anteilen der venösen Malformation mit dicht gelagerten, irregulär konfigurierten, großkalibrigen venösen Gefäßanschnitten. Diese erscheinen nicht tubulär, wie bei einem normalen Gefäßanschnitt, sondern wie „umgestülpt“. Das Lumen ist solide und das Blut überall außenherum.
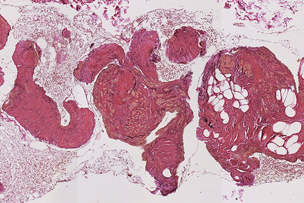
Histopathologischer Schnitt; Hämatoxylin-Eosin-Färbung (HE), 160-fache Vergrößerung des Stanzzylinders. Hier ist gut erkennbar, dass die eigentlichen irregulären, blutgefüllten Räume der venösen Malformation nicht solide sind, sondern teilweise mit Erythrozyten gefüllte „Leerräume“. Die Endothelauskleidung entspricht damit der äußeren Begrenzung der sichtbaren Läsion.
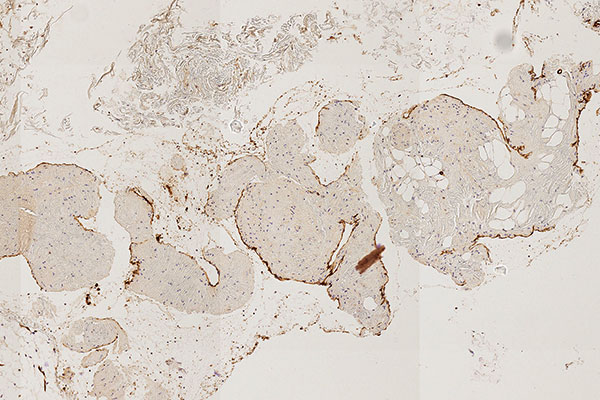
Histopathologischer Schnitt; CD31-Färbung zur spezifischen Anfärbung von Gefäßendothelzellen, die dann dunkelbraun gefärbt sind. 80-fache Vergrößerung des Stanzzylinders. Damit ist bewiesen, dass die äußere zelluläre Begrenzung der sichtbaren Läsion Blutgefäßendothelien entspricht.
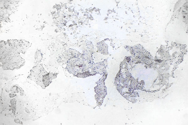
Histopathologischer Schnitt; Elastika van Gieson (EvG) zur Färbung von Kollagen und Bindegewebe. 90-fache Vergrößerung des Stanzzylinders. Die Bindegewebsfärbung EvG verdeutlicht den dysplastischen Wandaufbau der Malformation mit gelb gefärbten glatten Muskelfaserzügen untermischt von rot gefärbten Bindegewebsarealen sowie eingestreuten zarten schwarzen elastischen Fasern. Dieser Aufbau ist eigentlich typisch für venöse Gefäße, der hier gezeigte unregelmäßige Aufbau ist jedoch atypisch und zeigt die fehlgebildete Venenwandstruktur der venösen Malformation an.
Histopathologischer Schnitt; die immunhistologische Färbung gegen glattmuskuläres Aktin (smooth muscle actin = SMA) demonstriert den irrgulären, dysplastischen Wandaufbau der Gefäße der venösen Malformation nochmals besonders schön. Der normale, geordnete glattmuskuläre Wandaufbau ist nicht vorhanden. Die Läsion ist asymmetrisch durchsetzt mit unregelmäßiger SMA-positiver glatter Muskulatur.
Histopathologischer Schnitt; die immunhistologische Färbung mittels MIB-1 auf das Ki67-Antigen ist eine klassische Färbung zur Darstellung der Proliferationsaktivität einer Läsion. Ki67 zeigt als Proliferationsmarker alle im weitesten Sinne in Teilung befindlichen Zellen an (außerhalb der G0-Phase im Zellzyklus).Hier sind nur sehr wenige teilungsaktive Kerne (hier ohne Mitosespindeln) als positive Kernfärbung nachweisbar. Damit sehr geringe Proliferationsrate als Hinweis auf eine benigne Läsion.
Die Vorgeschichte des Patienten ist typisch: Aus vorheriger Gesundheit tritt eine Thrombophlebitis innerhalb einer bisher nicht erkannten venösen Malformation (VM) auf. In einer daraufhin durchgeführten MRT zeigt sich dann ein gut sichtbarer, großer „Tumor“, der in der Differentialdiagnose gegen eine maligne Raumforderung abgegrenzt werden muss.
Das rein histopathologische Erkennen einer Läsion unter dem Mikroskop als venöse Malformation ist ohne entsprechende klinische Angaben und entsprechende Fragestellung kaum möglich. Dennoch gibt es gute Hinweise, die immunhistologisch und morphologisch eine venöse Malformation charakterisieren.
Die venöse Malformation ist schwammartig blutgefüllt ohne echte solide Anteile, ähnlich einem Schweizer Käse mit viel Luft (Luftlöcher = blutgefüllte Hohlräume; Käse = dysplastische, venenartige Wandstrukturen). Die eigentlichen dysplastischen Venenwände machen also in der blutgefüllten Gesamtläsion nur einen Bruchteil des Volumens aus und erscheinen meist nicht rohrförmig wie ein Gefäß, sondern fuchsbauartig irregulär verzweigt.
Durch immunhistochemische Färbung mit CD31 (Blutgefäßendothel), das die Läsion auskleidet, und den irregulären, zum Teil lückenhaft asymmetrischen Besatz mit glatten Muskelzellen (SMA-Färbung) sowie der Nachweis von atypischen verteilten Kollagen- und elastischen Fasern (EvG-Färbung) in der venenartigen Gefäßwand machen die Diagnose hochwahrscheinlich. Venöse Malformationen zeigen kaum Proliferationsaktivität (MIB-1).
Die histopathologisch sehr ähnlich aussehende lymphatische Malformation lässt sich mittels D2-40-Färbung (Podoplanin), die spezifisch nur Lymphgefäßendothelien anfärbt, differentialdiagnostisch gut unterscheiden.
In den meisten Fällen wird eine histopathologische Abklärung einer venösen Malformation nicht notwendig sein, da die Klinik und die Bildgebung die Diagnose bereits nahelegen. Wenn sie aber einmal notwendig wird, ist bei Beachtung der hier angeführten Färbungen und Prinzipien die Diagnose auch histopathologisch gut zu stellen. Im Verlauf wurde der Patient noch therapiert mit einer Bleomycin Elektrosklerotherapie (nicht abgebildet).
Publiziert: 2022
Alle Abbildungen © Wohlgemuth/Dießel