Autor/en: Wohlgemuth, Walter A.
Autor/en: Wohlgemuth, Walter A.
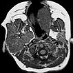
Die transversale, T1-gewichtete, native MRT des oberen Halses zeigt den subkutan gelegenen Tumor, der klar solide ist und scharf abgrenzbar zum umgebenden Gewebe. Das Mädchen ist jetzt 12 Monate alt, der Tumor hat sich nicht zurückgebildet.
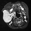
Die transversale, T2-gewichtete, fettgesättigte MRT des oberen Halses zeigt den subkutan gelegenen Tumor nochmal sehr klar als hyperintense, scharf abgrenzbare Raumforderung mit zentralen Flow-voids als Zeichen der starken Perfusion. Typisches Bild eines subkutan gelegenen, infantilen Hämangioms.
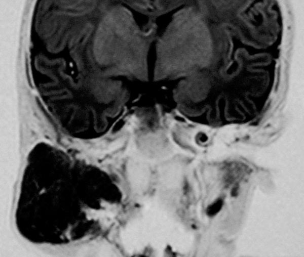
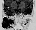
Die koronare Inversion-Recovery-Sequenz (MRT) zeigt nochmals sehr gut die Ausdehnung des Hämangioms. Die Signalgebung ist isointens zum Hirngewebe. Es handelt sich klar um eine solide Raumforderung.
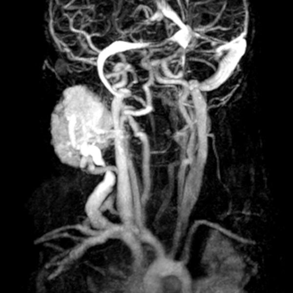
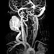
Das Mädchen ist jetzt 24 Monate alt, die Raumforderung hat sich nicht zurückgebildet. Sie ist deutlich sichtbar und bereitet der Patientin klaren Druckschmerz. Die MIP einer dynamischen, kontrastmittelunterstützten MR-Angiographie zeigt die starke Anreicherung des Hämangioms, das immer noch ausgedehnt ist. Die hauptsächliche venöse Drainage läuft über die Vena jugularis externa, im proximalen Bereich zeigt sich hier eine massive Stenose des Abstroms.
Aufgrund der fehlenden Rückbildung, wahrscheinlich auch durch die massive Stenose des venösen Abstroms, fällt der Entschluss zur Embolisation des Hämangioms im 24. Lebensmonat zur Induktion einer Regression. Zunächst wird dazu retrograd von transvenös der venöse Abstrom (Vena jugularis externa rechts) kanüliert.
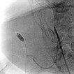
Anschließend wird dann ein kleiner Ballonkatheter eingebracht, der den venösen Abstrom vor einer Embolisation blocken soll und damit eine Embolisatverschleppung vermeiden soll.
In der digitalen Subtraktionsangiographie (DSA) nach Injektion in die rechte Arteria carotis communis zeigt sich das Hämangiom wie erwartet vor allem aus der Arteria carotis externa versorgt.
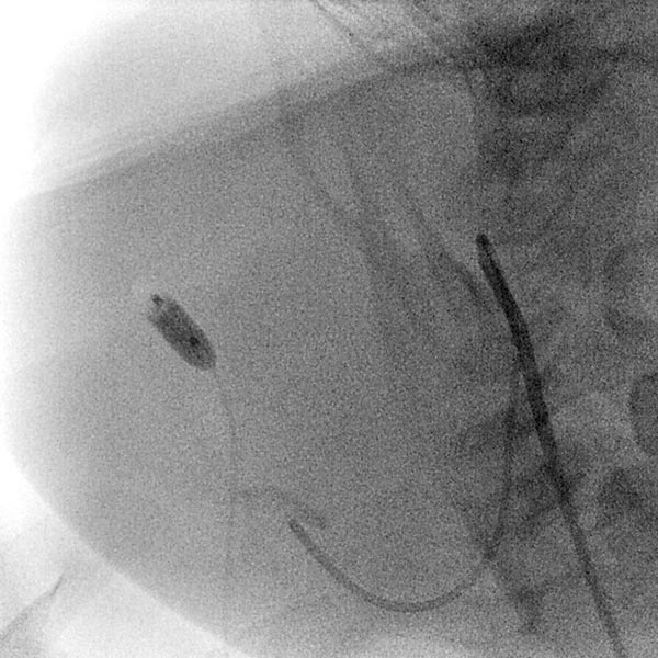
Digitale Subtraktionsangiographie (DSA): Nach Einbringen transarteriell eines Führungskatheters 4F in die Arteria carotis externa und Vorbringen eines Mikrokatheters in die Arteria maxillaris. Das Hämangiom zeigt sich als typisches KM-Pooling (Tumorblush). Gut zu sehen auch der transvenös eingebrachte Ballon, der den venösen Abstrom ausblockt. Hier wird jetzt mit Partikeln der Größe 150 Mikron embolisiert ohne dass diese Partikel venös abströmen können.
Digitale Subtraktionsangiographie (DSA) nach erster Embolisation mit Partikeln. Ein Teil des Hämangioms ist schon ausgeschaltet.
Digitale Subtraktionsangiographie (DSA) nach erneuter superselektiver Embolisation mit Partikeln über einen Mikrokatheter unter Blockung des Abstroms. Es sind jetzt gut 50 % des Hämangioms erfolgreich embolisiert.
Digitale Subtraktionsangiographie (DSA) nach Sondierung des verbliebenen, jetzt hauptsächlich noch das Hämangiom versorgenden Astes mit einem Mikrokatheter.
Während der superselektiven Partikelembolisation über den Mikrokatheter nach Blockung des venösen Abstroms (150 Mikron-Partikel) sind die Partikel zu erkennen als flau kontrastiertes Areal.
In der Kontrollangiographie über den Führungskatheter ist das Hämangiom jetzt praktisch nicht mehr perfundiert. Es zeigt sich das Bild des entlaubten Baums.
Die Übersichtsangiographie über die Arteria carotis communis nach Entfernung des venösen Blockballons zeigt ein praktisch komplett devaskularisiertes Hämangiom. Die intracerebrale Zirkulation ist unauffällig.
Bereits 6 Tage nach der Embolisation ist das subkutan gelegene infantile Hämangiom im Volumen massiv zurückgegangen (a.-p. Ansicht). Die darüber liegende Haut ist nicht dyskoloriert. Die Patientin war ab diesem Zeitpunkt asymptomatisch, das Hämangiom hat sich hierauf ohne weitere Therapie innerhalb von 3 Monaten vollständig zurückgebildet.
Nach Embolisation ist auch in der seitlichen Ansicht keine relevante Dyskoloration oder Schwellung mehr sichtbar.
Tief gelegene Hämangiome können durch ihre Größe zu lokalen Symptomen über die Raumforderungswirkung führen. Falls die medikamentöse Therapie alleine keine ausreichende Wirkung zeigt kann eine invasive Therapie (Embolisation oder Resektion) auch heute noch indiziert sein. Die Besonderheit dieses Falles war die hochgradige Stenose des venösen Abstroms, die wahrscheinlich zur ungenügenden Rückbildung geführt hat, aber bei der Embolisation zum gleichzeitigen Ausblocken der venösen Drainage genutzt werden konnte. Nach erfolgreicher Embolisation bilden sich die Hämangiome schnell zurück, da sie von der arteriellen Blutzufuhr und damit der starken Vaskularisation abgeschnitten sind.
Publiziert: 2018
Alle Abbildungen © Wohlgemuth